114年:醫學四(2)

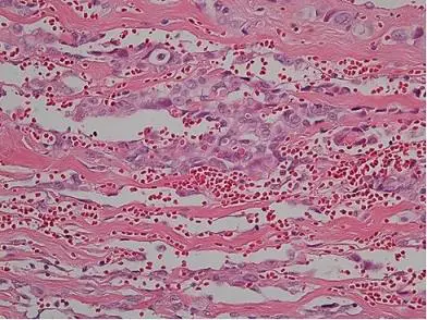
89歲的老先生,過去兩年來頭皮上陸續出現多個類似瘀傷的斑塊(如圖所示),最近病灶出現疼痛的症狀,因此求診並接受皮膚切片手術。病理圖像如附圖( H&E stain, 400X )。下列何者為最可能的診斷? 圖片描述 圖片描述

A基底細胞癌( basal cell carcinoma )
B血管肉瘤( angiosarcoma )
C皮脂腺癌( sebaceous carcinoma )
D鱗狀細胞癌( squamous cell carcinoma )

詳細解析

本題觀念:

高齡男性頭皮反覆出現多發、瘀青樣斑塊,臨床外觀與病理切片皆指向血管來源之惡性腫瘤。Cutaneous angiosarcoma 特別好發於 60‒90 歲頭頸部,呈擴散性紫紅或藍黑色瘀斑,易被誤認為挫傷;組織切片可見不規則、互相吻合(anastomosing)的血管腔與異型內皮細胞,是本題核心概念。(dermnetnz.org, pmc.ncbi.nlm.nih.gov)

影像分析:

  1. 臨床照片:禿髮頭皮上散在多處青紫或灰黑色斑塊,邊界不清,中央部分覆有黃色痂皮,部分區域呈結節或增厚,符合切膚瘀血樣擴散的 cutaneous angiosarcoma 特徵。
  2. H&E(400×):真皮內可見縱橫交錯的血管樣裂隙,內含紅血球;血管腔壁由核形不整、染色深的異型內皮細胞所襯,間質中大量紅血球外滲與散在異型細胞,未見角質珠或基底樣細胞團,亦無脂腺樣空泡變化。

選項分析

  • 選項A Basal cell carcinoma
    臨床多為蠟樣或珍珠狀丘疹;切片表現為基底樣細胞巢伴周邊柵狀排列及間隙(retraction cleft)。本題切片缺乏 basaloid nests 與柵狀排列,不符。(pmc.ncbi.nlm.nih.gov)

  • 選項B Angiosarcoma
    典型發生於老年頭皮,呈瘀青樣斑塊;病理顯示不規則互通之血管腔,內皮細胞顯著異型,常伴大量紅血球外滲,完全吻合臨床及組織表現,最為合理。(dermnetnz.org, pmc.ncbi.nlm.nih.gov)

  • 選項C Sebaceous carcinoma
    常見於眼瞼或頭頸部小結節,切片可見脂質空泡豐富之腫瘤細胞、pagetoid spread。題幹臨床為大片瘀斑,且切片無空泡狀細胞,不支持。(dermnetnz.org)

  • 選項D Squamous cell carcinoma
    多呈肉色結節或潰瘍;組織常見角蛋白珠、間細胞橋。題中未見角質形成或層片狀角化,排除。(dermnetnz.org)

答案解析

Cutaneous angiosarcoma 典型三要素:

  1. 高齡頭頸部好發。
  2. 臨床早期似瘀傷,常多發、邊界難辨,易誤診。
  3. 組織呈不規則、互相連通之血管腔,襯以異型內皮細胞及紅血球外滲;免疫染色可表現 CD31、CD34、ERG 陽性。
    本題臨床與病理完全符合上述特徵,排除其他皮膚惡性腫瘤後,最有力診斷為 angiosarcoma。

臨床重要性

Cutaneous angiosarcoma 侵襲性高、局部復發與遠端轉移率均高,五年生存率低於 30%。早期辨識、完整外科切除並輔以放射或化學治療可改善預後;對於高齡患者頭皮出現不明瘀青或疼痛斑塊,須高度警覺並及早作切片檢查。