114年:醫學四(2)

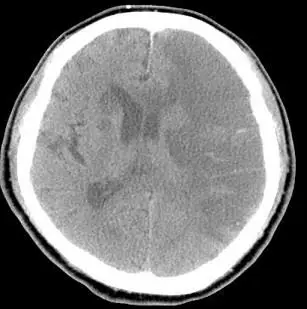
67歲男性病人,被家人發現突然無法言語及右側肢體無力,之後意識逐漸昏迷,其腦部電腦斷層掃描如下,針對此病人所做的降腦壓治療,何者最不適當? 圖片描述

A將病床頭側抬高 20~30度
B高滲透壓製劑治療
C類固醇治療
D過度換氣法( hyperventilation )治療

詳細解析

本題觀念:

急性大範圍腦中風(尤其惡性 middle cerebral artery infarct)常伴隨嚴重腦水腫與顱內壓(ICP)上升,處置目標是迅速降低ICP並維持足夠的腦灌流壓。常用方法包括床頭抬高、滲透壓劑、短暫過度換氣等;類固醇僅對腦腫瘤引發的 vasogenic edema 有效,對中風相關細胞毒性水腫無效且有害。

影像分析:

這張非顯影劑頭部 CT(水平切面)可見:

  1. 左側額-顳-頂葉大片低密度區,灰白質分界消失,符合急性缺血性腦梗塞。
  2. 皮質迴及腦溝受壓,顯示腦實質腫脹。
  3. 左側側腦室受擠壓、正中縱裂向右偏移,證實顱內壓上升及中線移位。 整體呈現惡性左側 MCA 梗塞之細胞毒性水腫,需要積極降腦壓。

選項分析

  • 選項A 將病床頭側抬高 20~30 度
    抬高床頭可促進顱內靜脈回流、降低 ICP,屬低風險的一線措施,國際指引建議採行。(ahajournals.org)

  • 選項B 高滲透壓製劑治療
    mannitol 或 3% hypertonic saline 能快速建立滲透梯度、抽離腦實質水分,為標準藥物治療之一。(stroke-manual.com, ncbi.nlm.nih.gov)

  • 選項C 類固醇治療
    steroid 對腦腫瘤造成的 vasogenic edema 有效,但對缺血或出血性中風的細胞毒性水腫無效,且增加感染、高血糖與消化性潰瘍等併發症,指引明確不建議使用。(emedicine.medscape.com, pmc.ncbi.nlm.nih.gov)

  • 選項D 過度換氣法(hyperventilation)治療
    短暫將 PaCO₂ 降至 25–30 mmHg 使腦血管收縮,可做為急性 ICP 升高的橋接措施,雖效果短暫但仍屬可接受的救急手段。(pmc.ncbi.nlm.nih.gov)

答案解析

在中風引起的腦水腫中,抬高床頭、高滲透壓製劑及短暫過度換氣皆屬建議或可考慮的降壓策略;唯獨類固醇對此類細胞毒性水腫無效且可能害多於益,因此最不適當。正確答案為 C。

臨床重要性

臨床遇到惡性大腦半球梗塞應立即採取多重降壓措施並監測神經功能;避免使用無效且具風險的類固醇,以免延誤黃金治療時間及增加併發症。必要時須及早評估顱骨減壓術,以改善預後。