114年:醫學四(2)

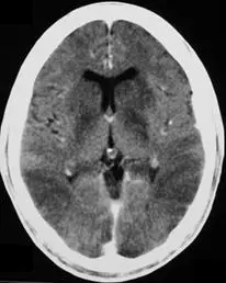
50歲女性患者,近期因急性心臟衰竭而昏迷,接受電腦斷層檢查,圖為注射顯影劑後的影像,下列何者是最可能的診斷? 圖片描述

A瀰漫性腦炎( diffuse encephalitis )
B肝性腦病變( hepatic encephalopathy )
CWernicke 氏腦病變( Wernicke's encephalopathy )
D缺氧缺血性腦病變( hypoxic ischemic encephalopathy )

詳細解析

本題觀念:

全球性缺氧後所造成的 hypoxic-ischemic encephalopathy (HIE) 早期即可在電腦斷層呈現「灰白質分界消失、瀰漫性腦水腫」等特徵。心肺停止、瀕臨休克或急性心衰竭病人常見此影像學表現,預後極差。

影像分析:

從影像可見:

  1. 兩側大腦半球瀰漫性低密度,灰白質分界模糊。
  2. 皮質下白質密度相對較高,形成逆轉(reversal)或 white cerebellum sign 的前驅表現。
  3. 腦回變平、腦溝消失,側腦室輕度受壓,符合廣泛性腦水腫。
  4. 基底核與皮質同樣變得低密度,強化「全球性低血氧」而非局灶病變的印象。

上述變化為成人 HIE 在非增強/增強 CT 上最典型的早期表徵,與單一葉或特定核團受累之病因(如病毒性腦炎、Wernicke’s 或 hepatic encephalopathy)明顯不同。 (medicine.uams.edu, pmc.ncbi.nlm.nih.gov, radiopaedia.org)

選項分析

  • 選項A 瀰漫性腦炎
    病毒性/自體免疫性腦炎 CT 常呈一側或雙側顳葉、額葉、島葉低密度並可見局部出血或壞死,且基底核大多被保留;早期亦可能 CT 正常。題圖之對稱性全球低密度與腦炎影像並不相符。 (epos.myesr.org, pmc.ncbi.nlm.nih.gov)

  • 選項B 肝性腦病變
    慢性肝病或急性高氨血症典型影像為 MRI T1 bilateral globus pallidus 高訊號,CT 通常正常或僅輕微腦水腫,不會出現廣泛灰白質分界喪失及基底核低密度。故不符。 (cambridge.org)

  • 選項C Wernicke's encephalopathy
    影像首選 MRI,表現為對稱性丘腦、乳突體、周導水管灰質高訊號;CT 靈敏度低且多為局部變化,亦甚少出現全腦水腫。題圖瀰漫性變化與之不符。 (ajronline.org, cambridge.org)

  • 選項D 缺氧缺血性腦病變
    心肺衰竭後的全球缺氧可於數小時內在 CT 看到:灰白質分界消失、基底核低密度、腦溝/腦室受壓,嚴重時呈 white cerebellum sign。與題目影像及臨床背景(急性心衰竭昏迷)完全符合,故為最可能診斷。 (medicine.uams.edu, pmc.ncbi.nlm.nih.gov, radiopaedia.org)

答案解析

該患者因急性心臟衰竭導致全身灌流壓急劇下降,全球性腦缺氧缺血。CT 顯示典型 HIE 表現:瀰漫性低密度、灰白質分界消失、基底核與皮質同時受累、腦溝及腦室受壓。其他選項之影像特徵皆無法解釋如此「對稱且廣泛」的低密度改變,故正確答案為 D 缺氧缺血性腦病變。

臨床重要性

HIE 出現上述 CT 徵象時,代表嚴重且大多不可逆的神經損傷,預後極差;臨床需與家屬討論目標導向治療、神經預後評估及 palliative care。早期發現並盡速矯正心肺循環、維持腦灌流是唯一可能改善預後的策略。