114年:醫學四(1)
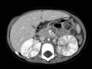
5歲女童高燒3日及膿尿(pyuria ; WBC 100~150/HPF),住院接受抗生素治療。經投與經驗性抗生素治療3日後,高燒並沒有改善。腹部電腦斷層(有注射顯影劑)檢查顯示如圖,女童最可能的診斷為:
A急性腎絲球腎炎(acute glomerulonephritis)
B急性大葉性腎盂腎炎(acute lobar nephronia)
C急性腎膿瘍(acute renal abscess)
D急性腎梗塞(acute renal infarction)
詳細解析
本題觀念:
兒童上泌尿道感染中,急性 focal bacterial nephritis(又稱 acute lobar nephronia, ALN)位於急性 pyelonephritis 與 renal abscess 之間;臨床表現為高燒不退、膿尿,對經驗性抗生素反應較差。影像學特徵是造影後腎實質出現楔形或條紋狀、邊緣模糊的低增強區,但內部未液化且無明顯膿腔或環狀增強。
影像分析:
橫斷面造影 CT 顯示:
- 右側腎(畫面左)實質均勻增強,形態正常。
- 左側腎(畫面右)中下極可見一楔形、由皮質向腎竇延伸的低密度區,邊緣不清,內部呈實質樣密度,未見圓形液化或厚壁環狀增強。
- 周圍脂肪層未顯著模糊,亦無明顯氣泡或腎周膿腫徵象。
此種「實質性、不液化、楔形低增強病灶」正是一典型 ALN 影像表現;若進一步壞死液化才會形成 renal abscess。
選項分析
- 選項A 急性腎絲球腎炎:通常呈雙側瀰漫性腎腫大與皮質增厚,尿沉渣以血尿、RBC casts 為主,而非局灶楔形病灶與膿尿。
- 選項B 急性大葉性腎盂腎炎(acute lobar nephronia):臨床高燒、膿尿且抗生素初期效果差;影像顯示單一腎葉楔形或條紋狀實質感染且未液化,正符合題目。
- 選項C 急性腎膿瘍:CT 為圓形或橢圓形低密度腔隙,邊緣厚壁明顯環狀增強,常伴周圍脂
...(解析預覽)...