113年:醫學六(1)

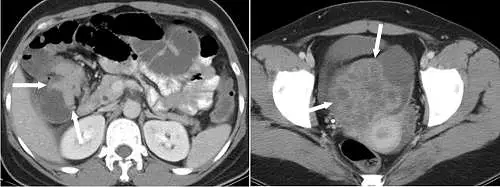
37 歲女性病人經電腦斷層檢查, 發現影像中箭號所指處有結腸肝彎處腫瘤阻塞下列有關卵巢的診斷何者最恰當? 圖片描述

Acystadenoma
BKrukenberg tumor
Cendometrioma
Ddermoid cyst

詳細解析

本題觀念:

Krukenberg tumor 為胃腸道原發癌(尤其胃癌、結腸癌)向卵巢轉移之腫瘤,組織學具 signet ring cell 特徵。CT 影像上常見雙側卵巢呈混合囊性與實質性腫塊。

影像分析:

左圖為腹部橫截面 CT,肝彎處可見一不規則腸壁增厚團塊(箭頭),近端迴腸及結腸明顯擴張,符合腸阻塞影像學表現,暗示原發結腸癌。
右圖為骨盆橫截面 CT,可見雙側卵巢區域各有大塊腫瘤,腫塊邊界清晰,內含多重低密度囊性區及實質性軟組織,囊壁強化明顯(箭頭所指),呈現典型混合囊性-實質性外觀,且雙側對稱(右側腫瘤較大、左側亦見小團塊),符合卵巢轉移瘤的特徵。

選項分析

  • 選項A cystadenoma
    主要為單純或多房性良性上皮性囊腫,CT 上呈單一或多室狀囊性病灶,實質成分極少,較少雙側且與消化道原發癌無關,故不符本例影像所見。

  • 選項B Krukenberg tumor
    轉移自胃或大腸等消化道癌,CT 顯示雙側卵巢大而分葉狀或橢圓形腫塊,具有囊性與實質性成分、囊壁強化,常伴隨腹水或腹膜播散。本例已見肝彎處結腸癌及雙側混合囊實性卵巢腫塊,典型符合 Krukenberg tumor 特徵 ([pubmed.ncbi.nlm.nih.gov](https://pubmed.ncbi.nlm.nih.gov/2

...(解析預覽)...