112年:醫學六(2)

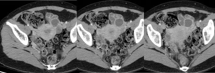
26歲女性病人,因下腹痛及發燒接受電腦斷層檢查(如附圖)。最可能之診斷為何? 圖片描述

A巧克力囊腫( chocolate cyst )
B卵巢癌( ovarian cancer )
C畸胎瘤( teratoma)
D輸卵管卵巢膿瘍( tubo-ovarian abscess )

詳細解析

本題觀念:

本題聚焦於使用腹部骨盆電腦斷層(CT)影像,區分各種卵巢/輸卵管病變。核心在於認識輸卵管卵巢膿瘍(tubo-ovarian abscess, TOA)與巧克力囊腫(endometrioma)、成熟畸胎瘤(mature cystic teratoma)、卵巢癌(ovarian cancer)等在CT影像上之典型差異。

影像分析:

CT 橫斷面顯示右側骨盆有一複雜囊性病灶:

  1. 病灶為多房性(multiloculated)、囊腔內可見分隔(septations),壁明顯增厚並環狀增強。
  2. 周圍骨盆脂肪組織呈散在條狀高密度(fat stranding),顯示局部炎症浸潤。
  3. 病灶內未見脂肪密度(無 -100 至 -50 HU 範圍組織)或鈣化結構。
  4. 臨床伴隨下腹痛與發燒,提示急性骨盆炎症。

以上所見符合輸卵管卵巢膿瘍在CT之典型表現:複雜、多房性囊性病灶、增強壁、周邊脂肪浸潤,同時伴有自由液或膿液(pyosalpinx)的成分 (radiology-test.fsm.northwestern.edu)。

選項分析

  • 選項A

...(解析預覽)...