111年:醫學四(1)

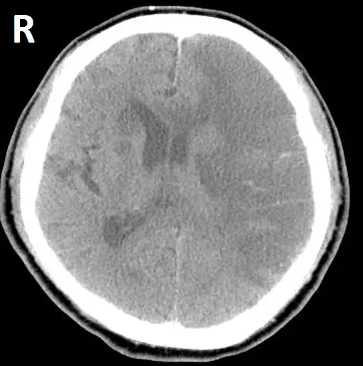
一位 66歲女性病人,有高血壓及心律不整病史多年,被家人發現突然無法言語及右側肢體無力,之後意識逐漸昏迷,其腦部電腦斷層掃描如下,最有可能發生問題的血管為何? 圖片描述

A左側內頸動脈( internal carotid artery )
B左側前大腦動脈( anterior cerebral artery )
C左側中大腦動脈( middle cerebral artery )
D左側後大腦動脈( posterior cerebral artery )

詳細解析

本題觀念:

主要考察急性缺血性腦中風的區域血管分佈及非強化電腦斷層(non-contrast CT)對早期中大腦動脈(MCA)梗塞的典型影像學表現與臨床症狀之對應。

影像分析:

  • 影像為非強化腦部CT橫斷面,左側大腦半球(影像右側標記「R」的對側)可見側腦室旁及中央白質區域輕度低密度,而且左側Insular區域灰白質界線消失,呈現「insular ribbon sign」;同時伴有大腦皮質下及皮質區的細微低密度改變,以及左側腦裂隱窩(Sylvian fissure)輕度腦溝壓迫。這些改變反映急性腦水腫與腦實質缺血後的細胞腫脹所致(loss of insular ribbon)(pubmed.ncbi.nlm.nih.gov),並有質子形Hyperdense MCA sign的可能(急性血栓在MCA內呈高密度)(pubmed.ncbi.nlm.nih.gov)。大面積低密度與腦水腫亦可能造成中線結構輕度移位。

選項分析

  • 選項A 左側內頸動脈(internal carotid artery)
    ICA梗

...(解析預覽)...