111年:醫學四(2)

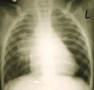
一位 6個月大男嬰因呼吸急促就醫,身體診察時在左胸前可聽到第三度 to-and-fro心雜音,於右肋下緣 4公分可觸摸到肝臟腫大,胸部 X光如圖所示。下列何者為最可能的診斷? 圖片描述

A法洛氏四合症( tetralogy of Fallot )
B先天肺動脈瓣膜缺失症伴有心室中隔缺損( congenital absence of the pulmonary valves and ventricular septal defect)
C三尖瓣膜閉鎖( tricuspid atresia )
D總肺靜脈回流異常( total anomalous pulmonary venous return )合併阻塞

詳細解析

本題觀念:

此題核心在於「absent pulmonary valve syndrome(APVS)」合併心室中隔缺損時的臨床與影像特徵。APVS因肺動脈瓣完全或部分缺如,造成主、左右肺動脈瘤狀擴張,進而壓迫氣道產生呼吸困難,同時因肺動脈瓣閉鎖不全伴隨肺動脈狹窄,形成典型 to-and-fro 心雜音;大血流負荷亦可導致右心衰竭表現如肝腫大。

影像分析:

提供之胸部 X 光片顯示:

  • 雙側肺門區對稱且顯著增大的圓形或卵圓狀影像,代表主肺動脈及左右肺動脈近端明顯擴張,但周邊肺血管走行清晰,並未顯著增粗,與中樞肺動脈擴張形成對比。
  • 心影整體並無極度「靴型心」或「雪人徵象」,提示並非單純 TOF 或 TAPVR 阻塞型。
  • 肝臟於右下緣可觸及延伸 4 cm,搭配胸片下緣肝影增大,支撐右心衰竭徵象。
    上述特徵符合 APVS 典型「中樞肺動脈擴張、外周保持正常」影像表現 (pubmed.ncbi.nlm.nih.gov)。

選項分析

  • 選項 A 法洛氏四合症(Tetralogy of Fallot)
    Tetralogy of Fallot 典型胸片呈「靴型心」(boot-shaped hea

...(解析預覽)...