110年:醫學六(1)

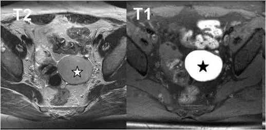
35歲女性病患,主訴下腹痛,磁振造影檢查發現骨盆腔有囊狀病灶(星號),在 T2 加權影像(左圖)呈稍低訊號, T1加權影像(右圖)呈高訊號。其診斷為何? 圖片描述

A巧克力囊腫( chocolate cyst )
B卵巢癌( ovarian cancer )
C輸卵管卵巢膿瘍( tubo-ovarian abscess )
D畸胎瘤( teratoma)

詳細解析

本題觀念:

解析此題需掌握MRI在診斷卵巢子宮內膜異位囊腫(endometrioma,也稱chocolate cyst)的特徵,包括T1加權影像的高訊號與T2加權影像呈現「shading sign(暗影徵象)」。

影像分析:

左圖為骨盆橫斷面T2加權影像,可見星號處囊狀病灶內部訊號介於肌肉及自由液體間,呈稍低於典型液體的中等至低訊號,符合「T2 shading」現象(chocolate cyst因反覆月經性出血,濃縮的鐵血黃素及蛋白質使其T2訊號降低) (pubmed.ncbi.nlm.nih.gov)。右圖為同部位T1加權影像,病灶全區高訊號,代表含有亞急性血液或高蛋白質含量的血腫成分 (radiologica.org)。整體影像符合典型子宮內膜異位囊腫的影像表現。

選項分析

  • 選項A 巧克力囊腫(chocolate cyst)
    子宮內膜異位囊腫在MRI上最具代表性的是T1高訊號(血性內容物)及T2 shading sign(訊號暗影),與本例完全一

...(解析預覽)...