110年:醫學三(2)

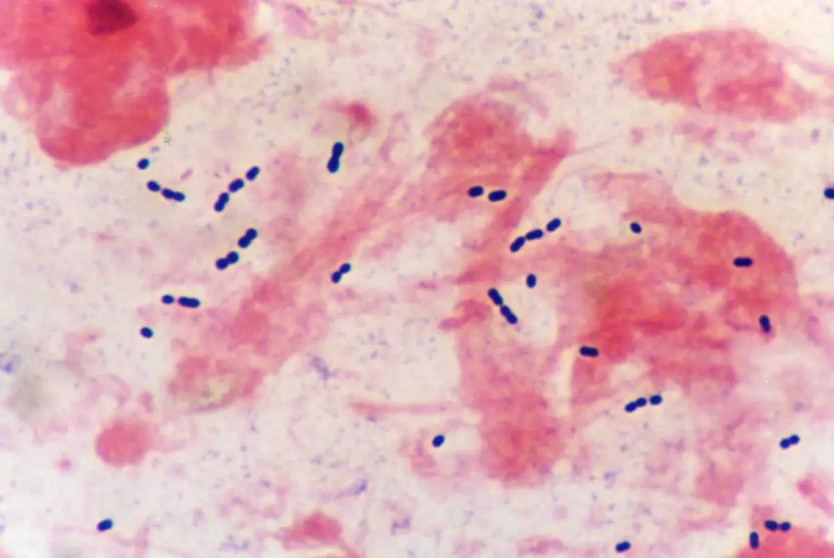
50歲男性病人有慢性 C 型肝炎,近 2 日咳嗽有濃痰,今天凌晨出現發燒和寒顫。上午 10 點至急診就醫時意識清醒但是呼吸急促,體溫 39.0 ℃,呼吸每分鐘 30 次,血壓 116/86 mmHg ,身體診察並未聽見心雜音。胸部 X 光顯示右側下肺葉浸潤增加。痰液經革蘭氏染色( Gram's stain )結果如圖示。經使用呼吸器和 ceftriaxone ,病人在隔日凌晨仍出現持續呼吸衰竭,併發休克後死亡。最可能的致病菌為何 ? 圖片描述

AStaphylococcus aureus
BStreptococcus pneumoniae
CListeria monocytogenes
DStreptococcus pyogenes

詳細解析

本題觀念:

如何藉由痰液的革蘭氏染色形態學(Gram stain morphology)辨識社區型肺炎(community-acquired pneumonia, CAP)的致病菌,並結合臨床表現與影像學,選出最可能的病原。

影像分析:

從痰液的Gram stain可見:

  • 紫色(Gram-positive)細菌
  • 菱形或略呈長橢圓形(lancet-shaped)的球菌
  • 多以兩個一對(diplococci)的方式排列
  • 周邊未見典型叢狀(clusters)或長鍊狀(chains)的排列

這些特徵典型符合Streptococcus pneumoniae的形態學,提示此菌為革蘭氏陽性雙球菌。

選項分析

  • 選項A Staphylococcus aureus
    • S. aureus為革蘭氏陽性球菌,常以葡萄串狀(grape-like clusters)存在,且不具lancet形狀。
    • 影像中未見叢狀排列,因此排除。 (microbiologyinpictures.com)

  • 選項B Streptococcus pneumoni

...(解析預覽)...