110年:醫學五(2)

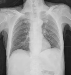
一主訴腹部急性劇痛而且身體虛弱的病人求診。仰臥胸部 X 光檢查和側臥腹部 X 光檢查( cross-table, decubitus view)呈現如二附圖。下列那一項初診斷最正確? 圖片描述 圖片描述

Agas-forming liver abscess
Bperforated peptic ulcer
Cacute cholecystitis
Dright pneumothorax

詳細解析

本題觀念:

急性腹痛合併身體虛弱的臨床型態,影像學上最重要的判讀要點是偵測自由空氣(pneumoperitoneum),進一步推測最可能的穿孔部位。supine chest X-ray 與 cross-table lateral decubitus 片是早期篩檢自由腹腔氣體的常用投照方式。

影像分析:

第一張為仰臥胸部 X-ray,肝臟投影(右下肺野下方)可見非肺部之弧形透亮帶,且下方無正常肝組織所需的軟組織密度,呈現“cupola sign”──自由氣體在 supine 狀態下往中央肌腱下累積,彌漫於下胸椎前方之透亮區,界限上方清晰,下緣不規則 (en.wikipedia.org)。
第二張為 cross-table lateral decubitus 片(患者側臥、X 光束平行水平線),自由氣體於非依賴側(通常右側,因左側有胃泡雜訊)形成 crescent 形透亮弧,貼附在肝緣與腹壁之間,對應“right side up” decubitus view 的 free air sign ([radiologykey.com](https://radiologykey.com/recognizing-extral

...(解析預覽)...