109年:醫學五(1)

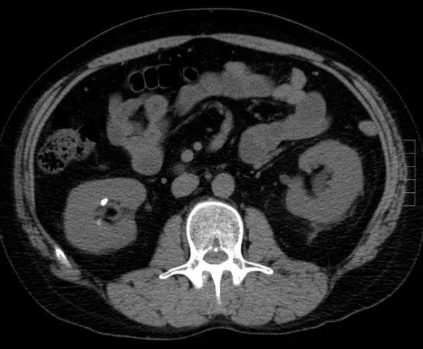
33 歲男性因陣發性腹痛而求醫,患者體溫正常、生命徵象穩定,患者接受對比劑注射前( pre-contrast )的電腦斷層掃描檢查如圖,下列診斷何者最恰當? 圖片描述

A急性盲腸炎
B腸胃炎
C腎結石
D膽囊炎

詳細解析

本題觀念:

非造影(non-contrast)電腦斷層(CT)在泌尿結石(urolithiasis)診斷中的關鍵角色──幾乎所有結石在無造影CT上均可被偵測到,為急性腹痛中懷疑腎結石患者之首選影像學檢查。

影像分析:

從所給的橫截面非造影腹部CT影像觀察到:

  • 右側腎臟(影像左側)集合系統處有一亮白色高密度點狀影像,邊緣清晰、形狀圓形。
  • 該高密度病灶 HU 值遠高於周邊腎實質(一般鈣質結石密度約 400–600 HU),符合結石呈現(Radiopaedia: CT 上 calcium oxalate 石 400-600 HU;99% 結石在 non-contrast CT 可見)(radiopaedia.org)。
  • 腎周未見明顯腫脹或脂肪模糊,無大片水腫或積液。
  • 關於闌尾與膽囊:闌尾位置(右下腹)未見增厚腸壁或脂肪混濁;右上腹膽囊形態、壁厚、周圍無滲出液,故不支持闌尾炎或膽囊炎。
  • 腸胃道亦未見明顯積氣或液平面、無局部腸壁增厚。

選項分析

  • 選項A 急性盲腸炎:
    急性闌尾炎在CT上常見闌尾直徑>6mm、增厚腸壁、周邊脂肪模糊、水腫或積液,題中影像無此所見,且病灶位置偏向右上方

...(解析預覽)...