109年:醫學六(1)

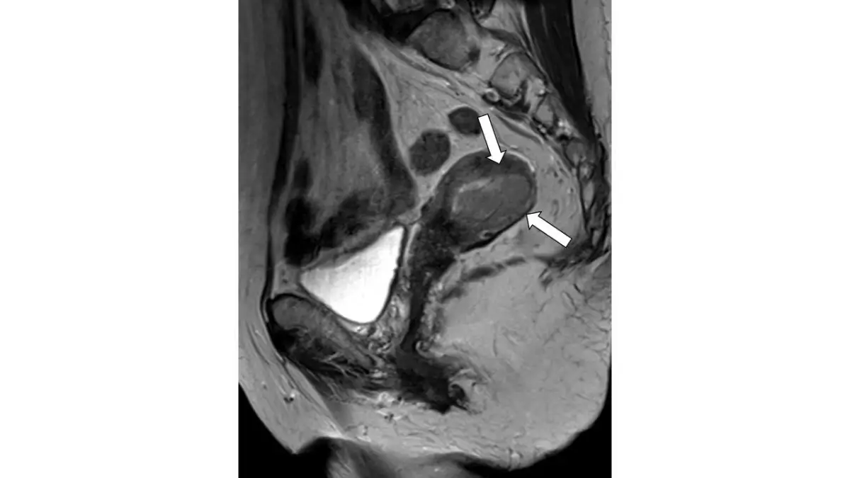
80 歲女性,下腹部磁振造影檢查( T2WI )呈現如圖,箭號所指之敘述何者最正確? 圖片描述

A子宮頸癌
B卵巢癌
C陰道癌
D子宮 內膜癌

詳細解析

本題觀念:

本題考察MRI T2加權影像對女性骨盆腔腫瘤的解剖定位與訊號特徵判讀,重點在於辨識腫瘤與子宮內膜、子宮肌層、子宮頸、卵巢及陰道之相對位置及典型訊號強度差異。

影像分析:

從這張矢狀面T2加權影像可見:

  • 前方高亮區域為膀胱內尿液(典型T2高信號);
  • 後方低信號帶為直腸及骶尾椎骨骼組織;
  • 箭頭指向一橢圓形、位於膀胱後方且緊貼於子宮體部內腔的腫塊,其訊號為中等至稍高於子宮肌層的異質性。
  • 腫塊中心未呈現典型液性囊腫完全高信號特徵,顯示為固態或實質性病變;
  • 子宮頸部位於更下方,與箭頭區域明顯分離。

根據MRI T2WI顯示,子宮內膜惟正常時呈現略高於肌層之信號;肌層則為低信號,兩者間的交界(junctional zone)被箭頭所示病灶所破壞,暗示內膜來源的實質性腫瘤侵襲了肌層。 (insightsimaging.springeropen.com)

選項分析

  • 選項A 子宮頸癌
    子宮頸癌在T2WI上會侵犯低信號的子宮頸間質,呈現高信號團塊,並破壞子宮頸的低信號邊界;其位置於子宮頸下段偏

...(解析預覽)...