109年:醫學三(2)

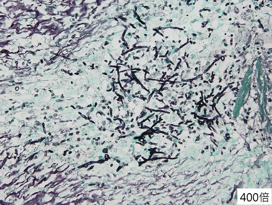
60歲糖尿病人因右眼視力模糊,鼻腔有黑色分泌物來住院,經耳鼻喉科開刀病理化驗結果如附圖,則下列何者是最可能的致病菌? 圖片描述

A麴菌(Aspergillus)
B念珠菌(Candida)
C非結核分枝桿菌( nontuberculous mycobacteria, NTM )
D金黃色葡萄球菌(Staphylococcus aureus)

詳細解析

本題觀念:

侵襲性鼻竇與眼部真菌感染中,組織病理學切片鑑別主要致病菌。須以菌絲壁厚度、隔膜有無、分枝角度判斷Aspergillus與Mucorales等常見真菌。

影像分析:

切片為400倍Gomori methenamine silver (GMS)染色。影像中見:

  • 大量黑色菌絲呈細長管狀,寬度約3–5 µm。
  • 菌絲具規則隔膜(septation),可見間隔分布。
  • 菌絲分叉呈二叉狀分枝,多數分枝角度接近45°急性角。
  • 未見寬大無隔膜之菌絲,也不見酵母或假菌絲結構。

上述形態符合Aspergillus spp.組織內典型表現。

選項分析

  • 選項A 麴菌(Aspergillus)
    Aspergillus在組織學上為細而均勻之septate hyphae,分枝多呈45°急性角(drfungus.org)。本影像即見此特徵,符合Aspergillus侵襲性鼻竇炎或眼周感染的組織病理。
  • 選項B 念珠菌(Candida)
    Candida常見酵母菌及假菌絲形式,具芽殖及假菌絲,無長條分枝septate hyphae形態,與本影像不符。
  • 選項C 非結

...(解析預覽)...