109年:醫學四(2)

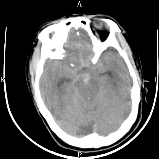
一位 70歲男性病人,有多年高血壓病史,沒有常規藥物控制。早上做晨間運動時,突然失去意識倒地不起,經119轉送急診,腦部電腦斷層掃瞄如下圖,最有可能的診斷為: 圖片描述

A腦室出血( intraventricular hemorrhage )
B蜘蛛膜下腔出血( subarachnoid hemorrhage )
C基底動脈阻塞( basilar artery occlusion )
D內頸動脈阻塞( internal carotid artery occlusion )

詳細解析

本題觀念:

蛛網膜下腔出血(Subarachnoid hemorrhage, SAH)在非對比腦部CT上的典型影像特徵與急性出血性病灶與缺血性病灶的鑑別。

影像分析:

  • 影像為非對比CT頭顱床層(axial view),可見多處高密度影分布在正常液體(CSF)應為低密度的部位。
  • 在橋腦前池(prepontine cistern)及周圍基底池(basal cistern)可見明顯高密度帶狀影,代表血液積聚;同時Sylvian裂隙及大腦間裂隙內亦呈高密度。
  • 腦室系統(側腦室、第三、第四腦室)內未見顯著高密度積聚且未見明顯擴大,排除大量腦室內出血或進展型阻塞性水腫。
  • 未見局限性實質低密度區或水腫徵象,也無皮質下或硬膜下典型出血形態。整體高密度分布符合血液沿蛛網膜下腔(subarachnoid space)流布之表現。

選項分析

  • 選項A 腦室出血(Intraventricular hemorrhage)
    特徵為血液高密度集中於側腦室角、第三/第四腦室內,本例高密度主從基底池與裂隙分布,腦室無明顯血液層故不符。

  • 選項B 蜘蛛膜下腔出血(Subarachnoid hemorrhage)
    急性SAH CT上高密度血液填滿基底池(尤以bridgement of basilar cisterns明顯

...(解析預覽)...