109年:醫學四(2)
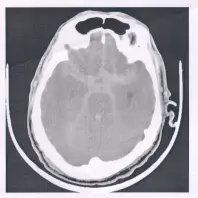
72歲男性,突然昏倒,送急診室,未注射對比劑之腦部電腦斷層( CT )檢查如圖,診斷是:
A蜘蛛網膜下腔出血( subarachnoid hemorrhage )
B硬腦膜外血腫( epidural hematoma )
C急性腦梗塞( acute cerebral infarction )
D硬腦膜下血腫( subdural hematoma )
詳細解析
本題觀念
本題考察非造影腦部電腦斷層 (noncontrast CT) 在鑑別各種顱內出血與急性腦梗塞時的典型影像特徵,包括:
- Subarachnoid hemorrhage (SAH):血液分布於蛛網膜下腔,於 Basal cisterns、Sylvian fissures、腦溝呈放射狀或片狀高密度;
- Epidural hematoma:血塊位於顱骨與硬腦膜之間,呈雙凸透鏡形(biconvex, lens-shaped),不跨過縫合線;
- Subdural hematoma:血塊位於硬腦膜與蛛網膜之間,呈新月形(crescentic),可跨縫合線;
- Acute cerebral infarction:梗塞區域因細胞水腫而呈低密度 (hypodense),不出現急性高密度血塊。
掌握這些影像學特徵可迅速提供急診及神經外科決策所需資訊。
影像分析
該圖為 72 歲男性昏倒後的非造影腦部 CT 之 axial 切面(基底顳部水平):
- 在顱底 Basal cisterns(包括 Suprasellar cistern、Ambient cistern)及左右 Sylvian fissures 可見多發條狀、片狀高密度影(血液)沿蛛網膜下腔分佈;
- 顱骨內側未見透鏡狀或新月狀高密度血腫塊,也
...(解析預覽)...