109年:醫學五(2)

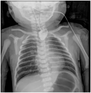
一名 33週的早產兒,出生後生命徵象穩定,但在第一次餵奶時發現有咳嗽、嗆到、發紺的狀況,且伴隨著大量口水流出;當試著置入胃管時,發現無法放至胃部,因此新生兒科醫師安排食道鋇劑攝影如圖。針對上述情況,下列相關敘述何者錯誤? 圖片描述

A該患兒必定伴隨著食道氣管瘻管( tracheoesophageal fistula )
B該患兒很可能身體有其他的異常,因此一定要再檢查其他器官系統有無異常
C該患兒之疾病以 Gross type C 最常見
D若沒有其他更緊急的狀況,患兒應儘速接受手術治療

詳細解析

本題觀念

新生兒食道閉鎖與食道—氣管瘻管(esophageal atresia with tracheoesophageal fistula, EA/TEF)的解剖分類與併發異常,以及術前評估與手術時機。

影像分析

從胸腹部平片可見:

  1. 餵食管鞘(nasogastric tube)在頸部/胸腔內彎曲盤繞,停留在上段食道盲袋處,無法進入腹腔,符合食道閉鎖的表現 (en.wikipedia.org)。
  2. 腹部出現空腸氣體(distal bowel gas),顯示遠端食道與氣管間有交通;空氣經由氣管—食道瘻管進入胃腸道 (radiologykey.com)。
    綜合上述,典型符合 Gross 分類 type C(proximal EA + distal TEF)。

選項分析

  • 選項A
    「該患兒必定伴隨著食道氣管瘻管」
    影像腹部氣體即為遠端瘻管氣體倒流所致,故此患兒確實存在 distal TEF,敘述正確。

  • 選項B

...(解析預覽)...