109年:醫學五(2)

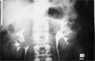
50歲男性病人主訴最近肉眼可見血尿。下圖為靜脈注射尿路X光攝影( intravenous urography )。最可能的診斷為何? 圖片描述

Arenal cell carcinoma
Brenal lymphoma
Crenal urothelial cell carcinoma
Drenal angiomyolipoma

詳細解析

本題觀念:

上尿路尿路上皮性癌(upper tract urothelial carcinoma, UTUC)常起源於腎盂或腎乳頭處,其典型影像學表現為輸尿管或腎盂內不規則的充盈缺損(intraluminal filling defect),並可能造成腎盂或乳頭部位的鈍化(calyceal blunting)或乳頭截斷(calyceal amputation)(emedicine.medscape.com)。靜脈注射泌尿道攝影(intravenous urography, IVU)曾是早期診斷上尿路腫瘤的主要工具,可呈現上述特徵性徵象。

影像分析:

影像顯示雙腎輸尿道造影:
• 右側腎排泄對稱,腎盂及乳頭構造清晰,輪廓平滑。
• 左側腎乳頭及腎盂區域出現多發性、形狀不規則之放射透明充盈缺損,伴隨部分乳頭鈍化與乳頭截斷現象,顯示對比劑無法正常流入疑似侵犯區域。
此影像特徵符合上尿路尿路上皮性癌所致之輸尿管腔內生長與阻塞,腫瘤如乳頭狀或扁平增厚,黏附於尿路黏膜,造成腔內不規則充盈缺損與腎盂系統排泄障礙([emedicine.medscape.com](https://emedic

...(解析預覽)...