114年:(醫檢)病生理(2)
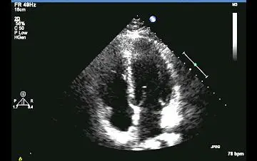
關於下圖心臟超音波的敘述,下列何者錯誤?
A此張超音波可辨認出左心房、左心室以及右心房、右心室
B此張心臟超音波為心尖四腔室圖
C此張超音波可診斷中度二尖瓣逆流
D此張超音波可看到二尖瓣與三尖瓣
詳細解析
本題觀念:
本題探討2D B-mode transthoracic echocardiography(TTE)的apical four-chamber (A4C) 視圖特徵,以及單純灰階影像在診斷瓣膜返流上的限制。
影像分析:
從影像可見:
• 心尖位於畫面頂端中央,室間中隔(IVS)呈近乎垂直於扇形掃描線,符合apical取向
• 左側近場結構為左心室(LV)與左心房(LA),右側近場為右心室(RV)與右心房(RA)
• 左側瓣膜為Mitral Valve(MV),右側瓣膜為Tricuspid Valve(TV),瓣膜開合清晰可辨
此為典型A4C視圖,旨在同時呈現四腔室與兩側房室瓣葉運動。
選項分析
- 選項A
影像中清楚同時顯示LA、LV、RA、RV四腔室。True (ncbi.nlm.nih.gov) - 選項B
探頭於心尖、標記指向左側,室間中隔垂直,呈現四腔室,正是心尖四腔室圖。True (radiologykey.com) - 選項C
灰階2D B-mode只顯示解剖結構,無血流動態。二尖瓣逆流需Color Doppler評估返流方向/範圍與Semiquantitative grading,故此影像無法診斷中度二尖瓣逆流。False (myechocardiography.com) - 選項D
A4C視圖能見Mitral Valve與Tricuspid Valve瓣膜運動,結構明顯。True (pragueicu.com)
答案解析
唯一錯誤為選項C。2D灰階超音波未整合Doppler訊號,無法評估返流血流。二尖瓣逆流分級需仰賴Color Doppler(並可輔PW/CW Doppler與PISA等技術),單純B-mode不具辨識返流嚴重度的能力。
核心知識點
- Apical four-chamber view
探頭位置:心尖處,標記指向患者左肩(3點鐘方向);掃描平面與IVS垂直
可見結構:LA, LV, RA, RV;瓣膜:Mitral Valve, Tricuspid Valve - B-mode vs. Doppler
B-mode:結構與運動;Color Doppler:血流方向與速率;PW/CW Doppler:流速定量 - Mitral Regurgitation 評估原則
必須使用Color Doppler評估Jet area、Vena contracta、PISA法等指標來分級(輕度、中度、重度) - 臨床應用
TTE初步評估心室功能、瓣膜病變時,應配合多普勒模式,才能完整判讀瓣膜返流及壓差,對治療決策有直接影響。