114年:(醫檢)血液(2)

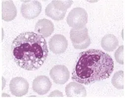
下圖是某人嚴重感染時的周邊血抹片染色,下列何者最能敘述圖中白血球發生的異常狀況? 圖片描述

AAlder-Reilly anomaly
BMay-Hegglin anomaly
Ctoxic changes
Dmegaloblastic change

詳細解析

本題觀念:

血液學中「中性球毒性變化(toxic changes)」指在嚴重感染或炎症反應時,因骨髓快速增生與活化,成熟中性球出現非典型的質變,包括:毒性顆粒(toxic granulation)、毒性空泡化(toxic vacuolization)及Döhle小體等,常見於敗血症或重度細菌感染病人。

影像分析:

從提供的周邊血抹片可見:

  1. 兩顆中性球,胞質內布滿深紫/藍黑色的粗大顆粒,顆粒較正常中性球的顆粒更大、更深色且數量明顯增多,符合「毒性顆粒」特徵。
  2. 其中一顆細胞胞質可見幾處清晰無染色的空泡,代表「毒性空泡化」。
  3. 胞質靠近細胞邊緣處,尚可見稍淺色、類棒狀的包涵體,疑為Döhle小體。

這些形態學改變是中性球在遭遇嚴重感染時加強吞噬與溶酶體活性所致,屬急性反應,而非先天性或維他命缺乏所致。

選項分析

  • 選項A Alder-Reilly anomaly
    Alder-Reilly為黏多醣症(mucopolysaccharidoses)病人中性球與所有白血球都帶有釋出清空區(halo)包圍的巨型褪色顆粒,此為終生固定表現,常見於淋巴球、單核球等多種白血球,且與感染程度無關。本例僅在中性球出現,且背景有感染臨床,非此 congenital storage disorder (imagebank.hematology.org)。

  • 選項B May-Hegglin anomaly
    特徵為巨巨血小板(macrothrombocytes)、Döhle-like bodies出現在所有粒細胞,以及常伴家族性巨大血小板與輕度血小板減少。此題未見異常大血小板或血小板減少表現,胞質顆粒又呈深紫粗大顆粒而非淺藍色Döhle小體,故排除此選項 (ncbi.nlm.nih.gov)。

  • 選項C toxic changes
    包含毒性顆粒(toxic granulation)、毒性空泡(vacuolization)及Döhle小體三種特徵。所見深色粗大顆粒、空泡與淺色包涵體即符合感染時中性球之毒性形態變化,與臨床「嚴重感染」高度吻合 (labce.com)。

  • 選項D megaloblastic change
    巨母細胞貧血時,粒細胞表現超過5個核葉之「核過分節(hypersegmentation)」及紅血球巨大化(macrocytosis)為特徵。本圖中中性球核分葉正常(3–4葉),且胞質未見此類核異常,非此所致 (imagebank.hematology.org)。

答案解析

圖中中性球胞質呈現大量深紫至藍黑色粗大顆粒,伴隨空泡及Döhle小體,為嚴重感染時中性球因溶酶體酵素活化所產生的毒性變化。Alder-Reilly與May-Hegglin為先天性顆粒異常,且呈現型態與本題所見不符;megaloblastic變化則以核過分節為主,亦與圖中所見不符。最能解釋此病人在嚴重感染時所見白血球形態改變者為「toxic changes」。

核心知識點

  • 粒細胞毒性變化
    • Toxic granulation:中性球胞質 azurophilic granules 增多且染色濃厚 (imagebank.hematology.org)。
    • Toxic vacuolization:胞質出現清空空泡,多見於嚴重感染或敗血症。
    • Döhle bodies:胞質邊緣灰藍色包涵體,為粗糙內質網殘留。
  • 鑑別診斷
    • Alder-Reilly anomaly:黏多醣症致白血球巨型顆粒,伴clear halo。
    • May-Hegglin anomaly:巨型血小板+粒細胞Döhle-like bodies。
    • Megaloblastic change:巨母細胞貧血時中性球核過分節(≥5 lobes)。

應熟讀感染/炎症時血液學反應之周邊血像變化,特別是中性球毒性形態學指標,以協助臨床迅速評估患者感染或敗血症的嚴重程度。