108年:專師內科(2)
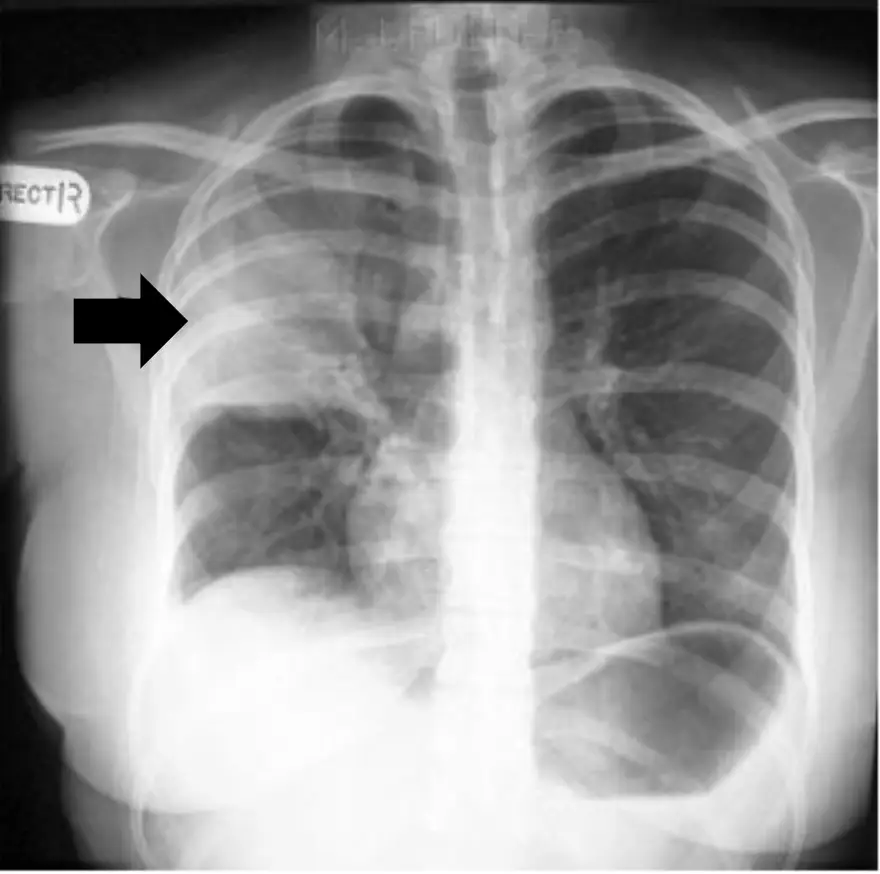
一位75歲女性糖尿病患,本次因發燒、咳黃痰住院,診斷為社區性肺炎,胸部X光片如下 圖,下列何者是箭頭所指的變化?
A肺空洞
B肺實質
C肺腫瘤
D肺塌陷
詳細解析
本題考的觀念是:胸部 X 光判讀中「社區性肺炎的典型肺部影像—肺實變 (consolidation)」之辨識與鑑別。影像上看到的實變代表肺泡被發炎滲出液取代,為診斷 CAP 的關鍵條件之一。
-
正確選項 (B)「肺實質」之所以正確
• 影像特徵:箭頭所指區域呈現均質、邊緣較模糊的片狀高密度陰影,且可見支氣管充氣徵 (air-bronchogram);無明顯體積減少或牽拉,符合肺實變。
• 病理意義:肺泡腔被纖維素性滲出液、發炎細胞與微生物充填,氣體被排擠而產生實質化陰影。這正是 CAP 的典型影像表現,也是診斷時「臨床症狀 + 影像浸潤」的必要條件。 -
其他選項分析
A. 肺空洞 (cavity)- 影像通常呈圓形或橢圓形透亮區,邊緣可厚可薄,可伴空氣液體面;題目影像為實心陰影而非透亮。
C. 肺腫瘤 (mass) - 腫瘤常呈圓形或分葉狀實心結節,邊界較清晰,可伴鈣化或胸膜凹陷;本例為弥漫片狀陰影且病程急性,不符腫瘤表現。
D. 肺塌陷 (atelectasis) - 典型徵象為容積縮小、縱膈或裂縫移位,牽拉周圍組織;影像中未見明顯體積減少,也無牽拉徵象。
- 影像通常呈圓形或橢圓形透亮區,邊緣可厚可薄,可伴空氣液體面;題目影像為實心陰影而非透亮。
-
臨床連結
• CAP 的診斷核心:急性呼吸道症狀 (咳嗽、咳痰、發燒) 加上胸 X 光浸潤影。影
...(解析預覽)...