113年:(醫檢)血液(1)

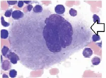
箭號所指的為何種細胞, 而其細胞核特別之處為何 圖片描述

AMegakaryocyte, 核內染色體為雙套體
BMegakaryocyte, 核內染色體為多套體
CMyeloma cell, 染色體為非整倍體異常
DHistiocyte,染色體常有 DNA copy number 型血友病基因但凝血功能正常的女性與 A 型血友病的男性結婚。 下列何者是他們生下凝血功能正 凝血相關因子的敘述 ,下列何者最適當? serine protease carboxyglutamic acid 主要是藉由γ- glutamyl hydroxylase carboxyglutamic acid 可增加與鈣離子的親和力 carboxyglutamic acid 需要氧化態維生素 K 作為輔酶 下列何者最適當 ? APTT 正常、PT 延長的現象 是目前臨床上唯一可以檢測 factor XIII的方法 5 M Urea 溶液中反應,應在 2小時內溶解 1% monochloroacetic acid 或 2% acetic acid 進行 clot 溶解試驗 而其細胞核特別之處為何 ? 核內染色體為雙套體 (2N) 核內染色體為多套體 (通常為4N~64N) 染色體為非整倍體異常 (aneuploid) DNA copy number 之異常 下列何者是他們生下凝血功能正 glutamyl hydroxylase 的催化 作為輔酶

詳細解析

本題觀念:

巨核細胞(Megakaryocyte)於終末分化過程中經歷「內核分裂」(endomitosis),使核內染色體組數增加(polyploidy),以支援大量血小板的生成。

影像分析:

從骨髓塗片可見一大型細胞,細胞直徑顯著大於周遭其他造血細胞,質地呈淡藍色,胞質豐富。箭號指向之細胞核呈多葉分裂狀,約有4~6個核葉相互連結,未見典型的胞質空泡或核仁過度明顯,符合巨核細胞成熟期特徵。巨核細胞為骨髓中最大細胞,其多葉化核形與多倍體(polyploid)性質密切相關。

選項分析

  • 選項A:Megakaryocyte,核內染色體為雙套體(2N)
    矛盾於影像中明顯的多葉核形分裂及巨核細胞的生理特性;巨核細胞在成熟時核內染色體經多次複製,並非維持2N (pubmed.ncbi.nlm.nih.gov),故排除。

  • 選項B:Megakaryocyte,核內染色體為多套體(通常為4N~64N)
    與巨核細胞經內核分裂(endomitosis)形成多倍體一致,文獻指出成熟巨核細胞的模式倍性為16N,多數個體可達4N~64N以上,甚至少數可達128N~512N ([pubmed.ncbi.nlm.n

...(解析預覽)...