112年:(醫檢)血液(1)

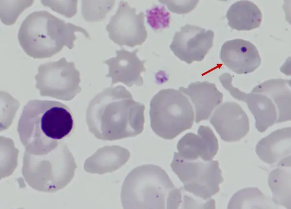
圖示為 Liu’s stain 血液抹片,箭號所指RBC 內包涵體為何? 圖片描述

AHeinz body
BBasophilic stippling
CHowell-Jolly body
DPappenheimer body

詳細解析

本題觀念:

本題探討紅血球內包涵體(inclusion bodies)的鑑別診斷,包括核殘留物(Howell–Jolly bodies)、鐵質顆粒(Pappenheimer bodies)、核糖體聚集(basophilic stippling)及變性血紅素沉積(Heinz bodies),並以常見的Romanowsky染劑(如Liu’s stain)下之形態特徵做出判定。

影像分析:

  • 影像為經Liu’s stain染色的外週血抹片。可見多數紅血球形狀略有變異,部分呈凹陷或皺縮現象。
  • 箭號標示之紅血球中,出現單一圓形、深紫色、大小約為紅血球直徑1/10–1/5的點狀物。邊緣平滑、分布於細胞質中央偏向一側,無多重小點聚集。
  • 此染劑屬於Romanowsky系列,可呈現DNA或RNA等細胞殘留染色,但對denatured hemoglobin須用supravital stain才能顯影。

選項分析

  • 選項A Heinz body
    • Heinz bodies為氧化性損傷下denatured hemoglobin precipitates,必須使用supravital染劑(如crystal violet、brilliant cresyl blue)才能觀察;在Romanowsky染劑下通常不可見或染色不佳,且形狀不規則,常呈多個小團塊,非單一

...(解析預覽)...