112年:(醫檢)血液(1)

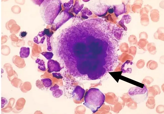
下圖骨髓抹片,箭號所指為那種細胞,且此類型細胞的染色體套數為何? 圖片描述

AMegakaryocyte;多倍體(polyploidy)
BMegakaryocyte;非整倍體(aneuploidy)
CMyeloma cell;多倍體(polyploidy)
DMyeloma cell;非整倍體(aneuploidy)

詳細解析

本題觀念:

本題聚焦於正常骨髓巨核細胞(Megakaryocyte)的形態學辨識及其特有的多倍體(Polyploidy)現象。巨核細胞在分化過程中經歷內有絲分裂(Endomitosis),核染色中期所複製的染色體未進行完整的胞質分裂,導致細胞維持在多倍體狀態。

影像分析:

從骨髓抹片中可見一顆體積極大(直徑可達30–100 μm)、細胞質豐富且呈深紫色澤的大型細胞。其胞核多葉分裂,呈現不規則的多葉結構(分裂核節),而非單一、均勻的圓形或鐘面狀(Clock-face)染色質。周邊可見大量小型紫色顆粒狀物質,為正在形成的血小板(Platelet territories)。該形態明顯不同於漿細胞瘤(Myeloma cell)或其他惡性細胞,符合巨核細胞特徵。

選項分析

  • 選項A Megakaryocyte;多倍體(polyploidy)
    符合:巨核細胞正常分化進程中以內有絲分裂產生2^xN多倍體(常見16N、32N、甚至64N)(pubmed.ncbi.nlm.nih.gov)。影像上多葉核與豐富細胞質對應巨核細胞典型形態。

  • 選項B Megakaryocyte;非整倍體(aneuploi

...(解析預覽)...