112年:(醫檢)血液(2)

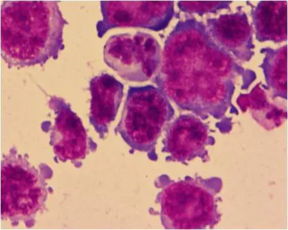
一位 50歲女性病患,最近覺得右胸緊緊,走路愈來愈喘,胸部 X 光發現右側大量肋膜積水,積水細胞學檢查及流式細胞儀檢查如圖。下列何者為最可能的診斷? 圖片描述 圖片描述

AT細胞淋巴瘤併發肋膜積水
BB細胞淋巴瘤併發肋膜積水
C肺結核併發肋膜積水
D肺腺癌併發惡性肋膜積水

詳細解析

本題觀念:

本題在探討惡性胸腔積水中,如何利用胸水細胞學與流式細胞儀免疫表型分析分辨不同病因,包括惡性淋巴瘤(B細胞 vs T細胞)、肺癌轉移及結核所致胸水。

影像分析:

第一張圖為胸水細胞學(Diff-Quik或類似染色)示大量異型細胞,細胞體積較大,核質比增高,核染質粗糙、可見明顯核仁,細胞呈片狀或群聚排列,形態非典型上皮細胞,偏向淋巴或漿細胞系列惡性腫瘤。

第二張圖為流式細胞儀結果,共六個分圖:

  • CD45 vs SSC:顯示一群CD45高、SSC中度偏高的細胞,定位在淋巴/大淋巴細胞區(87%)。
  • CD20 vs CD19:94.2% 的細胞同時表達CD19與CD20,明顯為B細胞群。
  • CD8 vs CD4:CD4+僅3.1%、CD8+僅1.6%,顯示T細胞極少。
  • Kappa vs Lambda:94.4% 細胞表達kappa light chain,僅4% 表達lambda,呈單一光鏈限制(monoclonal)。
  • CD3 vs CD16:CD3+僅3.7%,CD16+1.3%,排除以T或NK細胞為主的族群。
  • CD22 vs FMC7:60.5% 為CD22+,15.4% 表達FMC7,也符合成熟B細胞表型。

這些特徵顯示胸水中為以CD19⁺/CD20⁺ B細胞為主的單克隆族群,為B細胞淋巴瘤所致。

選項分析

  • 選項

...(解析預覽)...