112年:(醫檢)血液(2)

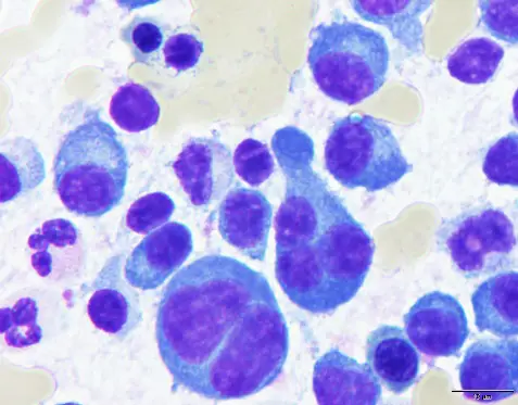
某位 70歲男性病患最近被人發現有點木訥,意識不清楚。經醫院檢查發現血鈣過高合併貧血及腎功能不好,骨髓細胞學檢查如圖,下列何者是最可能的診斷? 圖片描述

A多發性骨髓瘤
B慢性淋巴球性血癌
CT細胞淋巴癌
D骨髓增生性疾病

詳細解析

本題觀念:

本題核心在於辨識70歲男性同時出現高血鈣、貧血、腎功能不全(CRAB症候群)所提示之診斷,並輔以骨髓細胞形態判斷最可能的血液腫瘤類型。Multiple Myeloma的典型診斷依據即CRAB:C (hyperCalcemia)、R (Renal failure)、A (Anemia)、B (Bone lesions) (multiplemyelomahub.com)。

影像分析:

從骨髓塗片可見大量異常細胞具以下特徵:

  • 細胞體積比一般骨髓細胞大,胞質深藍,呈極化分佈。
  • 細胞核呈偏心位、核染質呈「時鐘面」狀分佈,部分細胞顯示單一或多個明顯核仁,核輪廓不規則。
  • 胞質靠近細胞核處有淡色透明帶(perinuclear hof),代表發達之Golgi體。
  • 細胞間大小、染色深淺不一,顯示高度異質性與未成熟傾向,包括成熟型與plasmablastic型 plasma cells([em-consulte.com](https://www.em-consulte.com/article/981010/figures/plasma-cell-morphol

...(解析預覽)...