113年:醫學二(2)

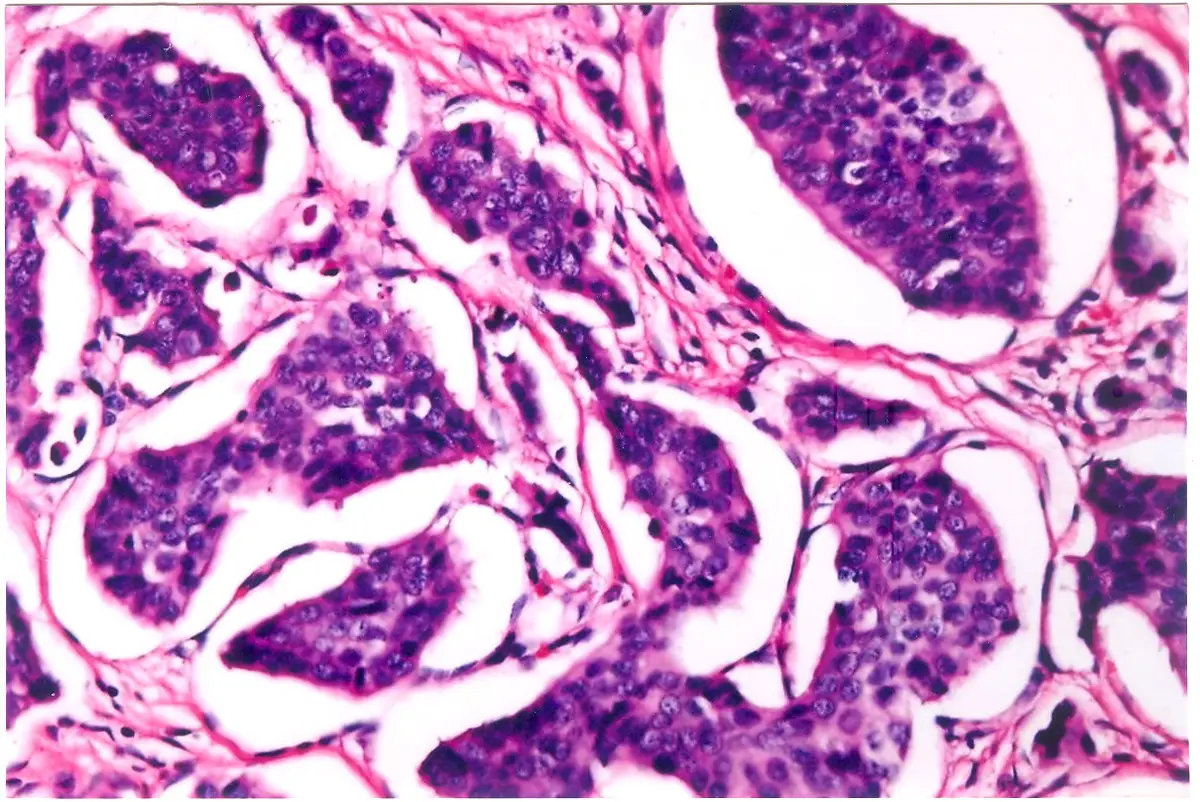
30歲男性因健康檢查時發現迴腸末端有一個1公分的黏膜下腫瘤因而接受手術。病理醫師檢查該腫瘤的切面是黃色的,在顯微鏡下觀察如附圖,細胞含chromogranin及synaptophysin。下列何者為最可能的診斷? 圖片

A增生性息肉(hyperplastic polyp)
B小管狀腺瘤(tubular adenoma)
C神經內分泌腫瘤(neuroendocrine tumor)
D腺癌(adenocarcinoma)

詳細解析

本題觀念:

本題考查的是**小腸神經內分泌腫瘤(Small Intestine Neuroendocrine Tumor, SI-NET)**的臨床病理特徵與診斷。特別側重於其典型的解剖位置(迴腸末端)、肉眼觀外觀(黃色切面、黏膜下腫瘤)以及免疫組織化學染色(Chromogranin A 與 Synaptophysin 陽性)的判讀。

影像分析:

附圖為一張組織病理切片的顯微鏡照片(H&E染色):

  1. 低倍/中倍視野觀察:影像顯示腫瘤細胞排列成巢狀(nests)、島狀(islets)或樑狀(trabeculae)結構,被纖細的纖維血管基質(fibrovascular stroma)所分隔。這是神經內分泌腫瘤典型的**器官樣(organoid)**生長模式。
  2. 細胞形態:腫瘤細胞大小一致(monotonous),細胞質呈現粉紅色(嗜伊紅性)且豐富度中等。細胞核呈圓形或卵圓形,且位於細胞中央。雖然圖片解析度限制了對核染色質細節的觀察,但這種一致性的細胞排列是典型分化良好神經內分泌腫瘤(Well-differentiated NET)的特徵。
  3. 綜合判讀:影像呈現的細胞形態與排列方式,結合題目描述的免疫染色結果(Chromogranin 及 Synaptophysin 陽性),強烈支持神經內分泌腫瘤的診斷。

選項

...(解析預覽)...