115年:醫學四(1)

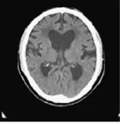
65歲男性走路小碎步,容易跌倒。他的太太表示他最近事情常常記不起來,反應遲鈍,有時也會尿失禁。他的腦部電腦斷層掃描結果如下,如果接受腦室腹腔分流術( ventriculoperitoneal shunt )治療,下列敘述何者最恰當? 圖片

A走路比記憶力容易進步
B術前腦壓測量通常不正常
C尿失禁最容易進步
D手術後進步通常可以持續5年以上

詳細解析

本題觀念:

本題考查 正常腦壓水腦症 (Normal Pressure Hydrocephalus, NPH) 的臨床表現、診斷特徵及治療預後。 NPH 的經典臨床三徵 (Hakim's Triad) 為:

  1. 步態不穩 (Gait disturbance):通常最早出現,表現為小碎步、磁性步態 (magnetic gait)、寬基底步態。
  2. 認知功能障礙 (Dementia/Cognitive decline):記憶力減退、反應遲鈍,類似皮質下失智症。
  3. 尿失禁 (Urinary incontinence):通常較晚出現,由急迫性尿失禁進展而來。

影像分析:

提供的腦部電腦斷層 (CT) 影像顯示:

  • 腦室擴大 (Ventriculomegaly):側腦室 (Lateral ventricles) 的額角 (Frontal horns) 明顯擴大。
  • 雖然單張影像難以完整評估 DESH (Disproportionately Enlarged Subarachnoid-space Hydrocephalus) 特徵,但可見腦室擴大的程度與腦實質萎縮的程度不成比例(即腦室擴大顯著,但腦溝並未呈現相對應的廣泛萎縮,甚至可能在頭頂部腦溝變窄)。
  • 結合病患 65 歲且具有典型三徵 (步態、失智、尿失禁),影像學表現支持 NPH 的診斷。

選項分析:

  • A. 走路比記憶力容易進步正確

    • 在 NPH 接受腦室腹腔分流術 (VP shunt) 治療後,步態不穩 (Gait disturbance) 是最容易改善且改善幅度最大的症狀。
    • 文獻統計顯示,約 80% 以上的患者步態會有改善。
    • 相比之下,認知功能 (記憶力) 的改善較為變異且幅度較小,尤其是若失智症狀已存在較長時間,可能合併有阿茲海默症或其他退化性病變,導致對引流反應不佳。
  • B. 術前腦壓測量通常不正常錯誤

    • 顧名思義,正常腦壓水腦症的特徵就是腰椎穿刺測量的腦脊髓液壓力 (Opening pressure) 通常在正常範圍內 (一般定義為 < 20 cmH2O 或 < 18 mmHg)。
    • 雖然在連續監測中可能會觀察到間歇性的 B-waves 或壓力波動,但在單次腰椎穿刺測量時,壓力通常是正常的。若壓力明顯升高,則需考慮其他阻塞性水腦症或顱內高壓原因。
  • C. 尿失禁最容易進步錯誤

    • 尿失禁的改善率通常低於或次於步態改善。步態障礙是對分流手術反應最好的預測因子。
    • 一般改善順序與程度常被描述為:步態 > 尿失禁/認知功能。
  • D. 手術後進步通常可以持續5年以上錯誤/較不恰當

    • 雖然部分患者可以維持長期進步,但長期追蹤研究 (如 3-5 年以上) 顯示,隨著時間推移,症狀改善的比例會下降。
    • 原因包括:分流管阻塞或功能不良、患者年齡增長合併其他神經退化性疾病 (如 Alzheimer's disease) 或血管性失智症惡化。
    • 文獻指出,手術後 1-3 年的改善率較高,但要說「通常」(大於50%的患者) 可以維持 5 年以上的高品質進步,較過於樂觀且不如選項 A 確切。許多研究顯示 3 年後的持續改善率會顯著下降 (例如降至 30-40% 或更低)。

答案解析:

本題描述了一位典型 NPH 患者(步態不穩、失智、尿失禁)及其 CT 影像。針對 VP shunt 的治療預後,醫學界的共識是 步態障礙 (Gait) 對手術的反應最好、改善機率最高,而認知功能的恢復則較難預測且幅度較小。因此,選項 (A) 走路比記憶力容易進步 是最恰當且符合臨床實證的敘述。

核心知識點:

  1. NPH 三徵 (Hakim's triad):Wet (尿失禁), Wobbly (步態不穩), Wacky (失智)。
  2. 症狀出現順序:通常步態最先,失智與尿失禁較晚。
  3. 手術反應率:步態改善最顯著 (>80%),其次為尿失禁,認知功能改善最差 (<50% 或僅輕微改善)。
  4. 診斷關鍵:影像上腦室擴大 (Evans index > 0.3) 但腦壓正常。腰椎穿刺引流測試 (Tap test) 可預測手術效果(步態改善為陽性指標)。

參考資料:

  1. Relkin N, Marmarou A, Klinge P, et al. Diagnosing idiopathic normal-pressure hydrocephalus. Neurosurgery. 2005.
  2. Halperin JJ, Kurlan R, Schwalb JM, et al. Practice guideline: Idiopathic normal pressure hydrocephalus: Response to shunting and predictors of response. Neurology. 2015. (Confirming gait is the most responsive symptom).