115年:醫學五(1)
下列X光片的骨折診斷,何者最適當? 
AColles fracture
BGaleazzi fracture
Cboxer's fracture
DMonteggia fracture
詳細解析
本題觀念:
本題考查前臂骨折脫位(Fracture-dislocation of the forearm)的影像診斷與分類。核心觀念在於辨識「MUGR」或「GRIMUS」口訣,以及運用「橈骨小頭-肱骨小頭連線」(Radiocapitellar line)來判斷肘關節是否脫位。
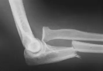
影像分析:
- 解剖位置:影像顯示為**肘關節(Elbow joint)**的側位(Lateral view)X光片,包含了肱骨遠端、尺骨近端與橈骨近端。
- 尺骨(Ulna):在尺骨近端骨幹(Proximal shaft)可見明顯的骨折線,且骨折斷端向掌側(Anterior/Volar)成角(Angulation)。
- 橈骨(Radius):橈骨頭(Radial head)與肱骨小頭(Capitellum)的關節對合關係異常。
- 正常情況下,無論X光片角度如何,沿著橈骨頸中心畫出的延伸線(Radiocapitellar line)應穿過肱骨小頭的中心。
- 本圖發現:橈骨頭向前方(Anteriorly)脫位,並未對準肱骨小頭。
- 綜合診斷:尺骨近端骨幹骨折合併橈骨頭脫位(Fracture of the proximal ulna with dislocation of the radial head)。
選項分析
- A. Colles fracture (柯雷氏骨折):
- 定義:橈骨遠端(手腕處)骨折,且遠端骨折塊向背側位移(Dorsal displacement),常呈現「餐叉樣變形」(Dinner fork deformity)。
- 錯誤原因:本題影像位於肘部,而非手腕;且骨折位於尺骨而非橈骨。
- B. Galeazzi fracture (葛萊氏骨折):
- 定義:橈骨中下段(遠端 1/3)骨幹骨折,合併遠端橈尺關節(DRUJ, Distal Radioulnar Joint)脫位。
- 錯誤原因:Galeazzi 骨折主要涉及手腕附近的 DRUJ 脫位與橈骨骨折,與本題的肘部病灶不符。
- C. Boxer's fracture (拳擊手骨折):
- 定義:第五掌骨頸(5th Metacarpal neck)骨折,常見於握拳重擊硬物後。
- 錯誤原因:發生部位在手掌,與本題肘部影像完全無關。
- D. Monteggia fracture (孟氏骨折):
- 定義:尺骨近端 1/3 骨幹骨折,合併近端橈尺關節(Proximal Radioulnar Joint, PRUJ)/ 橈骨頭脫位。
- 正確原因:影像特徵(尺骨斷、橈骨頭脫位)完全符合此定義。依據 Bado 分類法,橈骨頭向前方脫位屬於最常見的 Type I。
答案解析
根據影像顯示的尺骨近端骨折合併橈骨頭前脫位,符合 Monteggia fracture 的定義,故最適當的診斷為 (D)。
核心知識點
前臂雙骨骨折脫位記憶法(MUGR):
- Monteggia:Ulna fracture + Radial head dislocation (尺骨骨折 + 橈骨頭脫位) -> 近端病灶。
- Galeazzi:Radius fracture + DRUJ dislocation (橈骨骨折 + 遠端橈尺關節脫位) -> 遠端病灶。
Monteggia Fracture 的 Bado 分類(依橈骨頭脫位方向):
- Type I (最常見):橈骨頭向前脫位,尺骨骨折向掌側成角(如本題影像)。
- Type II:橈骨頭向後脫位,尺骨骨折向背側成角。
- Type III:橈骨頭向外側脫位(常見於兒童)。
- Type IV:橈骨頭前脫位 + 橈骨與尺骨雙骨折。
臨床重要性
在判讀任何前臂骨折 X 光片時,必須同時檢查上下兩端的關節(Wrist and Elbow)。若只注意到尺骨骨折而忽略了橈骨頭脫位(Missed Monteggia lesion),會導致長期的肘關節活動受限、慢性疼痛及神經損傷(特別是 Posterior Interosseous Nerve, PIN)。因此,Radiocapitellar line 是判讀肘部外傷 X 光片時必畫的輔助線。