111年:醫學二(2)
65 歲男病人呈現嚴重的蛋白尿。腎臟切片檢查顯示腎絲球病變中並無免疫複合體或補體沉積。根據本題圖示及病人臨床表現,下列腎病中何者是最可能的病理診斷? 
Amembranous nephropathy
Bdiabetic glomerulopathy
Cminimal change nephropathy
DIgA nephropathy
詳細解析
本題觀念:
本題考查重點在於腎病症候群(Nephrotic Syndrome)的病理診斷與鑑別,特別是結合**光學顯微鏡影像(Light Microscopy)與免疫螢光染色(Immunofluorescence, IF)**的結果來進行綜合判斷。關鍵在於辨識出糖尿病腎病變特有的組織學特徵,並利用免疫螢光陰性結果排除免疫複合體媒介的腎絲球腎炎。
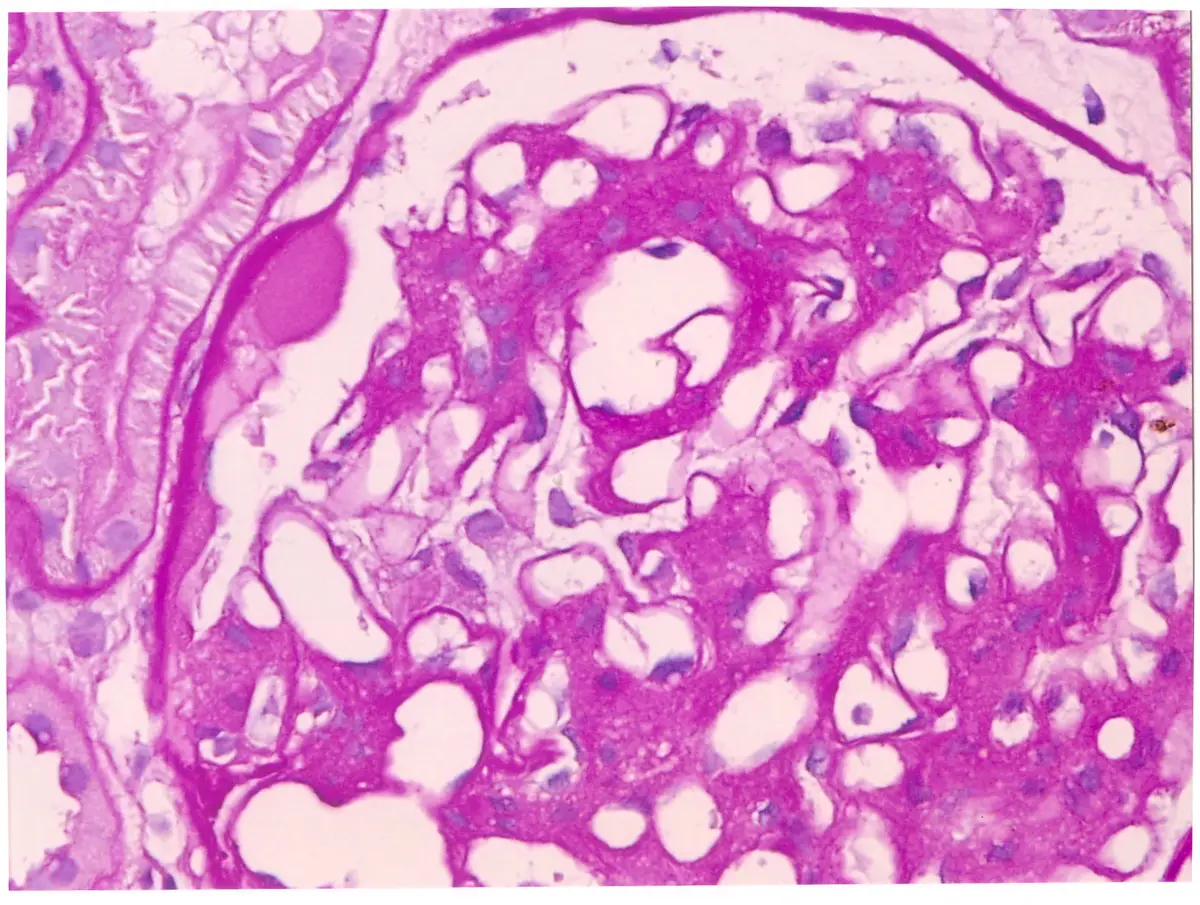
影像分析:
- 染色方式:圖片顯示為 PAS (Periodic Acid-Schiff) 染色,這是一種常用於標記基底膜和間質基質(matrix)的染色法,呈現深粉紅色(magenta)。
- 病理特徵:
- 結節性腎絲球硬化(Nodular Glomerulosclerosis):影像中最顯著的特徵是腎絲球環間質(mesangium)區域出現結節狀(nodular)、無細胞核(acellular)、嗜伊紅性(eosinophilic)的硬化病灶。這就是典型的 Kimmelstiel-Wilson (K-W) nodule。
- 環間質擴大(Mesangial expansion):除了結節外,整體環間質基質也呈現瀰漫性增生。
- 基底膜增厚:微血管壁的基底膜看起來均勻增厚。
- 綜合判斷:此影
...(解析預覽)...