110年:醫學二(2)

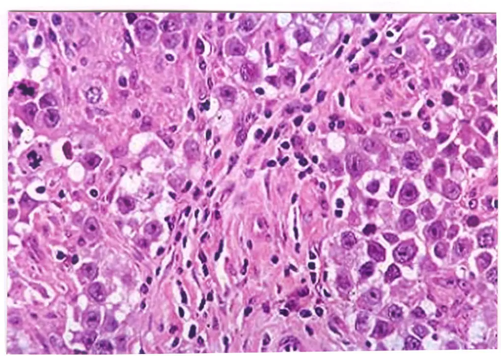
30歲男性,最近三個月來覺得右側陰囊漸漸變大有下墜感,但不會有疼痛現象。圖為他睪丸切除手術標本的顯微鏡下變化。下列何者是最可能的診斷? 圖片

A精細胞瘤( seminoma )
B畸胎瘤( teratoma)
C結核病( tuberculosis )
D卵黃囊瘤( yolk sac tumor )

詳細解析

本題觀念:

本題考查**睪丸生殖細胞腫瘤(Testicular Germ Cell Tumor)的臨床表現與病理診斷,特別是精細胞瘤(Seminoma)**的典型特徵。這是在年輕男性(特別是 30-40 歲)中最常見的睪丸惡性腫瘤。

影像分析:

提供的顯微鏡病理切片圖顯示了極具特徵性的**精細胞瘤(Seminoma)**影像:

  1. 腫瘤細胞特徵(Tumor Cells):細胞體積大且均一,呈現多邊形(polygonal)。細胞質豐富且**透明(clear cytoplasm)**或淡染(因為富含肝醣 glycogen,在製片過程中被溶解),細胞核大且位於中央,核仁明顯(prominent nucleoli)。這種外觀常被稱為「荷包蛋樣(fried egg appearance)」。
  2. 排列結構(Architecture):腫瘤細胞被排列成巢狀(nests)或片狀(sheets)。
  3. 間質特徵(Stroma):最關鍵的診斷線索是腫瘤細胞巢之間有細緻的纖維中隔(fibrous septa),且這些中隔內有明顯的淋巴球浸潤(lymphocytic infiltrate)(圖中深藍色的小細胞)。

選項分析:

  • A. 精細胞瘤(Seminoma)
    • **臨床吻合

...(解析預覽)...