106年:專師外科
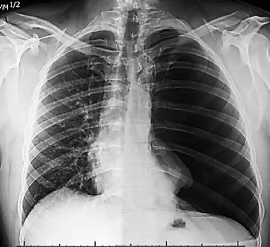
下圖胸部X光片,其最可能的診斷為何?

A肺炎
B氣胸
C肺癌
D肺氣腫
詳細解析
本題考的觀念是:如何由胸部 X 光辨識典型 pneumothorax(氣胸)的影像徵象與鑑別診斷。
-
影像判讀要點
• 片中左側胸腔可見一條明顯「白色內折的臟層胸膜線」,線外(胸壁側)完全沒有肺紋理,呈現均一透亮的空氣密度。
• 左肺實質被壓縮向肺門呈部分塌陷,與正常右肺對照,體積明顯縮小。
• 無肺門腫塊、支氣管樹擴張或浸潤影;也未出現明顯橫膈抬高或流動性液平面。
以上是大型單純性 pneumothorax 的經典表現。 -
選項逐一分析
A. 肺炎 (Pneumonia)
• 典型為片狀或節段性實變、浸潤或支氣管含氣徵;不會看到純粹「無肺紋理的透亮空腔」。故不符。
B. 氣胸 (Pneumothorax) ‒ 正確
• 關鍵影像:白色臟層胸膜線+線外無肺紋理=胸膜腔內有氣體。伴肺實質向肺門回縮,即符合氣胸診斷。
C. 肺癌 (Lung cancer)
• 需有腫塊或分葉影、阻塞性無氣或肺門/縱膈淋巴結腫大等徵象。本片並未見腫瘤實質。
D. 肺氣腫 (Emphysema)
• 肺氣腫表現為雙肺過度充氣、透亮度增加、肺野過長及膈肌變平,屬彌漫性改變,仍可見肺紋理;不像本題呈局限無肺紋理的空腔。 -
正確答案理由
Pn
...(解析預覽)...