113年:專師外科
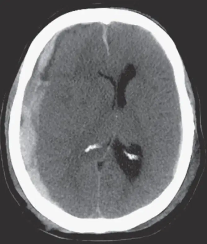
一位摩托車車禍病人送至醫院,其電腦斷層顯示如圖(五),下列敘述何者最適當?
A外傷造成中腦膜動脈破裂出血
B病人有發生大腦疝脫情形
C病人症狀為左側上下肢體偏癱
D電腦斷層所見屬於急性硬腦膜下出血
詳細解析
本題觀念:
聚焦在急性硬腦膜下血腫 (acute subdural hematoma) 的影像學特徵與臨床病理對應
影像分析:
從所給的 axial non-contrast CT 片觀察到:
- 血塊位在大腦凸面 (cerebral convexity) 之下,呈新月形 (crescent-shaped) 高密度積血,且可跨越顱骨縫線 (suture lines);
- 大量血腫造成顱內壓力上升,明顯向對側推擠中線結構 (midline shift),並壓迫鄰近腦室與腦溝;
- 血腫質地均勻高密度,符合急性新鮮血塊 (acute blood clots) 的表現;
此種典型圖像符合急性硬腦膜下血腫。
選項分析
- 選項A 外傷造成中腦膜動脈破裂出血
中腦膜動脈破裂典型導致硬腦膜外血腫 (epidural hematoma),其 CT 為雙凸鏡形 (biconvex/lentiform)、不跨縫線,常伴顱骨骨折(standardofcare.com)([en.wikipedia.org](https://en.wikipedia.org/wiki/Epidural_hematoma?utm_
...(解析預覽)...