111年:專師內科
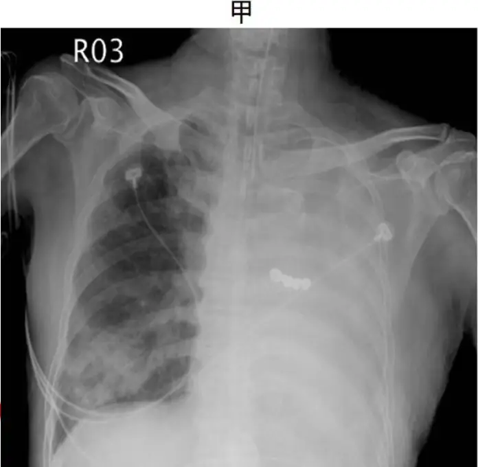
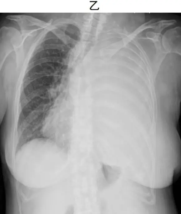
病人甲與病人乙皆主訴左胸悶、呼吸喘促,其胸部 X 光發現兩人的左胸廓都幾乎全白,如圖(三)。如果單以 X 光判讀來決定,是否適合為病人進行胸管引流來減輕其症狀,請問下列何項決策正確?
A甲可插、乙不可插
B乙可插、甲不可插
C甲乙皆可插
D甲乙皆不可插
詳細解析
本題觀念:
區分肺內實質實變(consolidation)與胸膜腔內積水(pleural effusion)的放射學特徵,並依據不同病變的適應症選擇是否置放胸管(chest tube)。
影像分析:
- 病人甲(A):左側幾乎全白,但可見肺紋理向外延伸,肺容積大致未見顯著縮小,無縱隔或氣管明顯偏移;符合肺實質被炎性分泌物充滿,也常見 air bronchogram,與嚴重 pneumonia/consolidation 相符,並非 pleural fluid (pmc.ncbi.nlm.nih.gov)。
- 病人乙(B):左側全白,同時左心膈角消失,伴有縱隔(氣管)向右側明顯偏移;高度提示大量 pleural effusion 產生質量效應(mass effect),符合 massive pleural effusion (radiopaedia.org)。
選項分析
- 選項A(甲可插、乙不可插):錯。甲為肺實質 consolidat
...(解析預覽)...