107年:放射診斷(1)

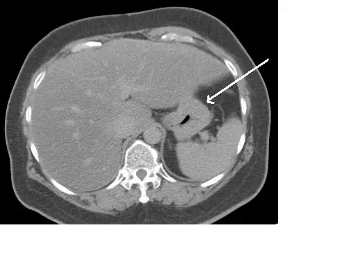
下圖中之影像箭號所示最可能為何? 圖片

Astomach
Bspleen
Cduodenal bulb
Desophagus

詳細解析

本題觀念:

本題考查腹部電腦斷層掃描(computed tomography, CT)的解剖辨識能力,重點在於辨別上腹部軸切面(axial view)中各器官的位置與影像特徵,特別是胃(stomach)的識別。

影像分析:

本圖為腹部軸切面 CT(非增強或增強掃描),顯示上腹部橫斷面影像。影像中可見以下主要結構:

  • 右側(患者左側顯示在影像右方):肝臟(liver)佔據右上腹大部分空間,呈均勻中等密度。
  • 左上腹:脾臟(spleen)呈均勻軟組織密度,位於左側肋下。
  • 中央偏左:一個含有低密度氣體(空氣)的管腔構造,壁為軟組織密度,箭號指向此結構——此即(stomach),可見其胃腔內有氣體影,胃壁清晰可辨。
  • 脊椎:椎體位於影像正中央偏後,旁有主動脈與下腔靜脈。
  • 胰腺:可見於脊椎前方偏左之軟組織構造。

白色箭號指向的位置在左上腹、脾臟前內側、肝臟左葉後方,此位置正是胃體(gastric body)或胃底(gastric fundus)的典型 CT 位置。胃腔內氣體造成的低密度區域,加上周圍的軟組織胃壁,是辨識胃的重要特徵。

選項分析

(A) stomach(胃)正確答案
胃位於左上腹,其 CT 特徵包括:腔內含氣體(黑色低密度)或液體、胃壁為軟組織密度、位

...(解析預覽)...