107年:放射診斷(1)
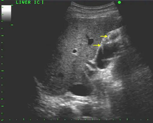
下圖為一體檢無症狀病人之腹部超音波圖,箭號所指最可能病灶位置為何? 
A肝臟
B腎臟
C胰臟
D膽囊
詳細解析
本題觀念:
腹部超音波影像辨識——膽囊(gallbladder)的正常解剖位置與超音波影像特徵。本題考查考生能否從腹部超音波影像中正確辨識膽囊的位置及其典型影像表現。
影像分析:
本圖左上角標示「LIVER IC」,顯示掃描區域為肝臟(liver)肋間切面(intercostal view)。影像中可見:
- 肝臟實質(liver parenchyma):佔據影像上半大部分,呈現均勻中等回音(isoechoic)的細顆粒紋路。
- 兩個黃色箭頭所指結構:位於肝實質內偏右下方,可見一個無回音(anechoic,完全黑色)、壁薄且光滑的囊袋狀結構,輪廓清晰。此即膽囊(gallbladder)的典型超音波表現:
- 形態:梨形(pear-shaped)
- 回音特性:無回音(anechoic)—膽汁為液體,超音波幾乎不被吸收
- 管壁:薄壁(正常 < 3 mm),回音稍高(echogenic wall)
- 後方回音增強(posterior acoustic enhancement):液態結構後方組織顯示回音增強
- 影像下方可見管狀低回音結構,為鄰近血管(portal vein 或肝靜脈)的斷面。
膽囊位於肝臟臟面的「膽囊窩(gallbladder fossa)」,即肝右葉與方葉(quadrate lobe)之間,緊貼肝下緣。因此在
...(解析預覽)...

升級 VIP 解鎖圖文解析