107年:放射診斷(1)
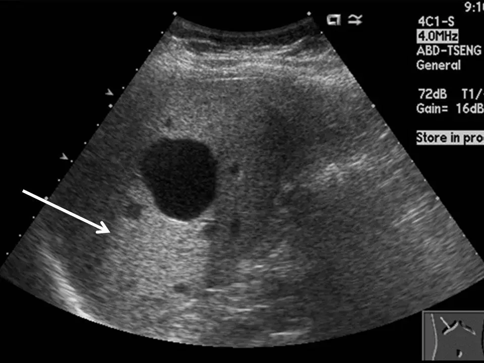
下圖為一肝臟超音波影像,箭號所示之高回音區稱為: 
Aacoustic shadowing
Bposterior acoustic enhancement
Cmirror image artifact
Dreverberation
詳細解析
本題觀念:
超音波物理偽影(ultrasound artifacts)——後方回音增強(posterior acoustic enhancement)的成因、影像表現及臨床辨識。本題考查考生能否從肝臟超音波影像中,正確辨識液態結構後方出現之高回音區的物理本質。
影像分析:
本圖標示機型為 4C1-S、頻率 4.0 MHz,為腹部超音波標準設定(ABD-TSENG, General mode,Gain 16 dB)。影像所見:
- 主體結構:影像中央偏左可見一個大型、邊界清晰、完全無回音(anechoic)的圓形結構,內部均勻黑色,不含任何實質成分——此為液態結構(fluid-filled structure),最可能為肝臟囊腫(hepatic cyst)或膽囊(gallbladder)。
- 白色箭號所指區域:位於該無回音結構的左後下方(deep/posterior side),出現一條明顯亮白色高回音帶(hyperechoic band),即題目所問之「高回音區」。
- 對照周圍肝實質:箭號所指亮白帶兩側的肝臟實質呈中等回音,而亮白帶正好位於無回音液態結構的正後方,形成鮮明對比——此即「後方回音增強(posterior acoustic enhancement)」的典型影像表現。
- **無聲影(no acoustic shad
...(解析預覽)...

升級 VIP 解鎖圖文解析