107年:放射診斷(1)
承上題【下圖箭號所指最可能的解剖部位為何?】附圖,箭號所指最可能之診斷為何? 
A主動脈剝離( aortic dissection )
B壁內血栓( intramural thrombus )
C主動脈硬化性潰瘍( penetrating artherosclerotic ulcer )
D上腔靜脈症候群( superior vena cava syndrome )
詳細解析
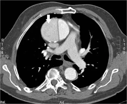
本題觀念:
本題為承上題的延伸,考查對同一影像中箭號所指異常的診斷判讀。核心考點是「急性主動脈症候群(acute aortic syndrome, AAS)」三大實體的 CT 影像鑑別診斷,重點在於辨識**主動脈剝離(aortic dissection)**的特徵性影像表現。
影像分析:
本圖為**胸部電腦斷層血管攝影(CT angiography, CTA)**橫切面影像(縱隔窗)。
主要觀察所見:
- 影像中央可見升主動脈(ascending aorta)明顯擴大
- 升主動脈腔內可見一條白色箭號,指向腔內一道線狀低密度薄片——即內膜瓣(intimal flap),將主動脈管腔分隔為**真腔(true lumen)與假腔(false lumen)**兩個腔室
- 真腔(較小、密度較高,在動脈相早期對比劑充填較亮)與假腔(較大、對比劑充填略延遲)可見明顯區分
- 心包腔周邊可見少量液體(心包積液,可能為出血性),符合 Stanford Type A 剝離的潛在併發症
- 降主動脈截面位於脊椎前方,亦可見,但箭號指向升主動脈病灶
結論: 升主動脈內見內膜瓣,為主動脈剝離的典型影像,累及升主動脈,屬**Stanford Type A(DeBakey Type I/II)**主動脈剝離。
選項分析
**(A) 主動
...(解析預覽)...

升級 VIP 解鎖圖文解析