105年:醫學二(1)
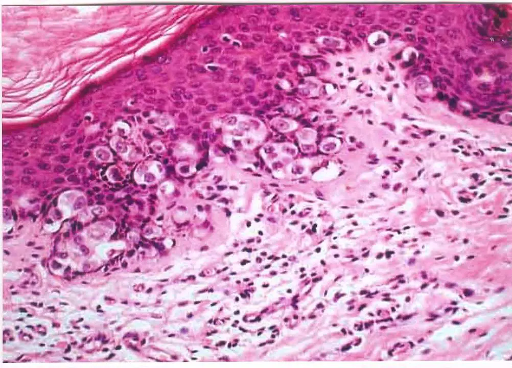
56 歲女性,大陰唇處有一個界限明顯、會癢、表面較紅且會結痂的病變。她接受切片檢查。圖示是病變區在顯微鏡下的 變化。下列有關此病的敘述何者正確? 
A由human papillomavirus 所引起
B是源自黑色素細胞的良性腫瘤
C是原發性的鱗狀細胞癌
D病變細胞的細胞質 PAS 染色為陽性
詳細解析
本題觀念:
外陰部佩吉特病(Extramammary Paget disease, EMPD)是一種罕見的上皮內腺癌,好發於大陰唇,臨床表現為界限明顯、紅斑、搔癢、結痂的病變。組織學上以豐富胞質的 Paget 細胞散布於表皮為特徵,且 PAS 染色(periodic acid-Schiff stain)陽性,反映細胞內富含黏多醣(mucopolysaccharides)。
影像分析:
本圖為 H&E 染色之組織切片,可見以下特徵:
-
Paget 細胞(Paget cells):表皮內散布大量胞質豐富、淡染(pale to clear cytoplasm)的大型上皮細胞,細胞核大、圓形,核仁明顯。這些細胞以巢狀(nests)或散在方式分布於正常鱗狀上皮細胞之間,呈現典型的 pagetoid spread 模式。
-
表皮結構:Paget 細胞主要分布於表皮下層至中層,部分達表皮全層;表皮角質層可見結痂(crusting),與臨床描述「會結痂」相符。
-
真皮改變:真皮淺層可見淋巴球及炎症細胞浸潤,無明顯基底膜破壞(符合上皮內病變,非侵犯性)。
-
整體印象:此組織學形態為外陰部佩吉特病的典型表現——大而淡染的腺上皮細胞散布於鱗狀表皮中,細胞內含大量黏蛋白(mucin),即為 PAS 染色陽性的形態學基礎。
...(解析預覽)...
![醫師[1] - 生殖系統與乳房病理 - AI 圖文解析預覽](/_next/image?url=https%3A%2F%2Fbgvxfcrmbdvefjhuvrmt.supabase.co%2Fstorage%2Fv1%2Fobject%2Fpublic%2Fvisual-explanations%2F1030%2F68018_t6v6c2v5l.webp&w=3840&q=75)
升級 VIP 解鎖圖文解析