106年:(醫檢)血液(1)
箭頭所指的細胞最有可能是下列何者? 
Aplasma cell
Bmetamyelocyte
Clarge granular lymphocyte
Dnormoblast
詳細解析
本題觀念:
本題考核骨髓塗片中細胞型態辨識,重點在識別**漿細胞(plasma cell)**的特徵性形態學表現,並與其他骨髓細胞做鑑別診斷。
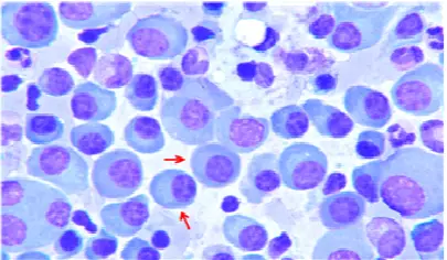
影像分析:
圖片為骨髓塗片(Wright-Giemsa 染色),紅色箭頭指向兩個細胞,其特徵如下:
- 細胞大小:約為周圍淋巴球的 2–3 倍,屬中至大型細胞(14–20 μm)
- 細胞核:偏心位置(eccentric nucleus),核染色質呈現典型的**時鐘面(clock-face)**或車輪狀(cartwheel)排列——染色質沿核膜周邊聚集,形成放射狀分布
- 細胞質:深藍色(嗜鹼性),核旁可見淡染的核周光暈(perinuclear hof),對應高爾基氏體(Golgi apparatus)所在區域
- 整體印象:此形態高度符合成熟漿細胞(Marschalko-type plasma cell)
選項分析
(A) plasma cell(漿細胞) ✅ 正確。漿細胞為 B 淋巴球終末分化的抗體分泌細胞,特徵為:(1)偏心圓形核;(2)粗塊狀染色質呈時鐘面排列;(3)豐富深藍色胞質;(4)核周光暈(hof)。圖中箭頭細胞完全符合上述特徵。
(B) metamyelocyte(後髓球) ❌ 不符。後髓球屬粒球前驅細胞,核呈腎形或馬蹄形(indente
...(解析預覽)...

升級 VIP 解鎖圖文解析