106年:(醫檢)血液(1)
箭頭所指的,最可能是下列何種細胞? 
Amonocyte
Bpromyelocyte
Clarge granular lymphocyte
Dpseudo Pelger-Huët cell
詳細解析
本題觀念:
本題考核周邊血液抹片(peripheral blood smear)中白血球型態的辨認能力,特別是對**單核球(monocyte)**的識別,以及與其他相似大型細胞的鑑別診斷。
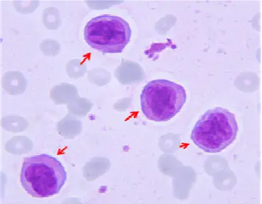
影像分析:
圖片為 Wright-Giemsa 染色的周邊血液抹片,視野中可見數個大型細胞,紅色箭頭標示出欲辨識的目標細胞。被箭頭指示的細胞具有以下形態特徵:
- 細胞大小:明顯大於周圍紅血球,直徑估計約 12–20 μm,屬於大型白血球
- 細胞核形態:核形不規則,呈腎形(kidney-shaped)或馬蹄形、捲曲狀折疊,染色質鬆散呈網狀(lacy/reticular chromatin),染色偏淡紫紅色,無明顯核仁
- 細胞質特徵:胞質豐富,呈灰藍色(gray-blue),外觀如「磨砂玻璃」(ground-glass),可見散在細小嗜天青顆粒(fine azurophilic granules)及空泡(vacuoles)
- 核漿比(N/C ratio):約 65–80%
這些形態特徵與單核球高度一致。圖中亦可見正常的紅血球作為大小對照,以及少量血小板碎片。
選項分析
(A) monocyte(單核球) 單核球為周邊血液中最大的白血球(12–20 μm),具有特徵性的腎形或馬蹄形折疊核,染色質鬆散,胞質豐富呈灰藍
...(解析預覽)...

升級 VIP 解鎖圖文解析