106年:放射診斷(2)

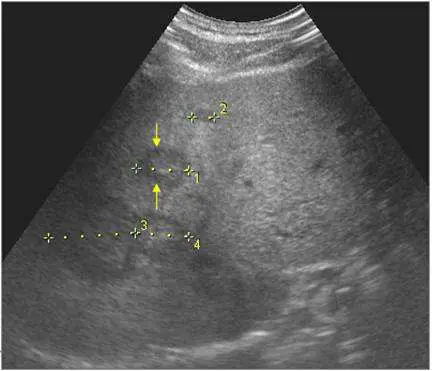
大腸癌病人,定期追蹤肝臟超音波掃描如下圖,箭號所指最可能為何? 圖片

A局部結節性增生( focal nodular hyperplasia )
B肝內轉移癌
C肝內血管瘤
D肝膿瘍

詳細解析

本題觀念:

本題考查大腸癌病人定期追蹤時,肝臟超音波影像中轉移性病灶的辨識。重點在於肝內轉移癌(hepatic metastasis)的超音波特徵,並與其他常見肝臟局部病灶(局部結節性增生、血管瘤、肝膿瘍)鑑別。

影像分析:

超音波影像顯示肝臟實質內有兩個低回音性(hypoechoic)病灶(黃色箭號所指,並附有測量游標 1、2、3、4),呈現以下特徵:

  • 低回音中心:病灶核心相對於周圍肝臟實質呈明顯低回音
  • 周圍低回音暈環(hypoechoic halo / target sign):病灶外圍可見一圈低回音暈,使整體呈現「牛眼(bull's eye)」或「靶心(target)」外觀
  • 邊界不清:與周圍正常肝實質的界面相對模糊,非銳利清晰
  • 不均質回音:內部回音不均勻,非純液性
  • 無後方增強:排除囊性病灶(如肝膿瘍液化腔)

此種「實質性低回音病灶+周圍暈環」的表現,在有大腸癌病史的病人中,高度提示肝內轉移癌。

選項分析

(A) 局部結節性增生(focal nodular hyperplasia, FNH) 局部結節性增生在超音波上多呈等回音(isoechoic)或輕微低回音,邊界不清,病灶中心常見纖維性疤痕(central scar),偶可見輻輪狀(spoke-wheel)血流。FNH

...(解析預覽)...