106年:放射診斷(2)

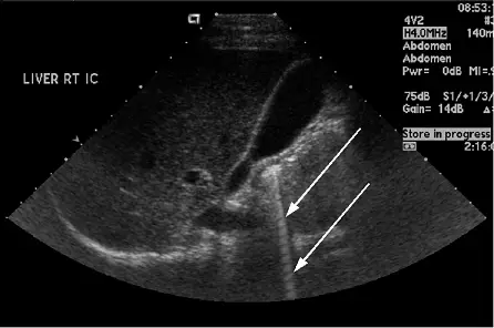
下圖中箭號所指的區域代表: 圖片

A回音增強( acoustic enhancement )
B音影(acoustic shadows )
C餘音假影( ring-down artifacts )
D體內異物( foreign body )

詳細解析

本題觀念:

本題考查超音波假影(ultrasound artifacts)的辨識,特別是**餘音假影(ring-down artifact)**的成因、外觀特徵及其臨床意義,並需與其他類似假影(回音增強、音影、體內異物)作鑑別。

影像分析:

圖片為腹部超音波影像(LIVER RT IC,右肝肋間切面,4V2 探頭、4.0 MHz)。影像左側可見正常肝臟實質回音,中央偏右方有兩個白色箭頭,指向一個自淺部延伸至深部的**亮白色條帶狀(bright streak)**結構,呈現連續的高亮度直線延伸,並不隨深度衰減、且無離散的平行等距線條,整體呈現一種向深部延伸的「光束(searchlight)」外觀。

此影像特徵符合**餘音假影(ring-down artifact)**的典型表現:

  • 起源自高反射介面(如氣泡或被液體包圍的氣體)
  • 向深部延伸的連續高亮度條帶
  • 不同於慧尾假影(comet-tail artifact)的逐漸衰減三角形狀
  • 常見於腹腔氣體、膽囊積氣或膽道積氣(pneumobilia)等狀況

選項分析

(A) 回音增強(acoustic enhancement) 回音增強發生於**無衰減液體(如囊腫、膽囊、膀胱)**後方,表現為液體結構後方有一大片相對較亮的區域(非線狀),是因為聲波穿過低衰減介質後到達後方組織時能量損失少而顯得

...(解析預覽)...