106年:放射診斷(2)

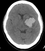
下圖為56 歲女性之電腦斷層影像,平時有高血壓,突然發生半身無力,意識障礙,則最正確的診斷為下列何者? 圖片

A基底核出血性中風( basal ganglion hemorrhage )
B蜘蛛網膜下腔出血性中風( subarachnoid hemorrhage ,SAH )
C梗塞性中風( brain infarction )
D腦瘤出血( tumor bleeding )

詳細解析

本題觀念:

本題考查腦部非對比電腦斷層(non-contrast CT, NCCT)的出血性中風判讀,重點在鑑別基底核出血(basal ganglion hemorrhage)與其他出血類型。高血壓是腦深部出血最常見的病因,典型好發部位包括基底核(尤其是殼核 putamen)、視丘、橋腦及小腦。

影像分析:

本題 CT 影像為非對比軸切面腦部電腦斷層,可見以下特徵:

  • 高密度病灶(hyperdense lesion):右側大腦半球深部可見一橢圓形、均質性高密度病灶,密度約為 50–70 HU,符合急性出血表現(新鮮血液在 NCCT 呈高密度白色,因血紅蛋白中的血球蛋白及凝血因子對 X 射線有較高吸收率)
  • 病灶位置:位於右側基底核區(basal ganglia),對應殼核(putamen)位置,屬於腦深部中央型出血,與高血壓性腦出血典型分布一致
  • 病灶形態:邊界相對清晰,呈均質高密度,無明顯「爆米花」狀(popcorn appearance)或環形強化跡象
  • 無蜘蛛網膜下腔出血特徵:腦底池(basal cisterns)及腦溝(sulci)並無瀰漫性高密度,不符合蜘蛛網膜下腔出血典型 CT 圖像(星形/五角形分布於鞍上池周圍)
  • 周邊水腫:病灶周邊可見輕微低密度水腫帶(hypodense rim),符合急性腦內出

...(解析預覽)...