106年:放射診斷(2)
承上題【下圖為56 歲女性之電腦斷層影像,平時有高血壓,突然發生半身無力,意識障礙,則最正確的診斷為下列何者? 】,這樣的病人下一步應再做何種檢查才能做適當治療? 
A數位贅減血管攝影( digital subtraction angiography ,DSA )
BCT-血管攝影( CT-angiography ,CTA )
CMR-血管攝影( MR-angiography ,MRA )
D不須再做其他檢查,即可做治療
詳細解析
本題觀念:
本題為承上題的延伸,考查高血壓性基底核出血(hypertensive basal ganglion hemorrhage)確診後的後續處置策略,核心在判斷此類患者是否需要額外的血管影像學檢查(DSA、CTA 或 MRA),以及決策依據。
影像分析:
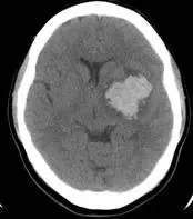
本題影像與上題相同(承上題),為非對比軸切面腦部 CT,顯示右側基底核(殼核 putamen)區均質高密度病灶,特徵如下:
- 高密度病灶:右側基底核區橢圓形均質高密度出血灶,符合急性腦內出血(密度約 50–70 HU)
- 深部中央型出血:病灶位置深部居中,典型高血壓性穿通動脈破裂部位
- 無明顯血管異常徵兆:影像中無明顯動靜脈畸形(AVM)的流空效應(flow voids)、無早期靜脈引流、無鈣化斑、無腫瘤相關徵象
- 臨床背景強烈支持高血壓性出血:56 歲、長期高血壓,深部出血,無外傷史
基於以上影像及臨床背景,診斷已十分明確,不需額外血管攝影即可確診並進行治療。
選項分析
(A) 數位贅減血管攝影(digital subtraction angiography, DSA) ❌ 不需要。DSA 為血管影像的金標準,主要用於懷疑血管異常(動脈瘤破裂、動靜脈畸形)引起的出血。對於年齡較大(> 45–65 歲)、有高血壓病史、位於典型深部位置(
...(解析預覽)...

升級 VIP 解鎖圖文解析