106年:放射基礎(1)

絲球帶(zona glomerulosa )位於那個區域? 圖片

A1
B2
C3
D4

詳細解析

本題觀念:

腎上腺(adrenal gland)的組織學分層辨識。腎上腺皮質(adrenal cortex)由外而內分為三個功能帶,搭配髓質(medulla)共四層,各具不同的組織形態與分泌功能。本題考核考生在顯微鏡切片中辨識各層的能力。

影像分析:

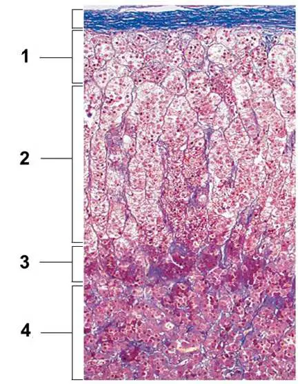
此為腎上腺的組織切片(Masson's trichrome 染色),切面自上(外側)至下(內側)可清楚辨識四個區域:

  • 區域 1(最外層):緊鄰藍色纖維性被膜(capsule),細胞呈小型、圓形叢狀排列(glomerular / ball-like clusters),細胞核深染,胞質稍嗜伊紅,脂質空泡不明顯。此形態為**絲球帶(zona glomerulosa)**的典型特徵。
  • 區域 2(次外層):最寬,細胞排列成整齊的長直柱狀索條(vertical cords),細胞體積較大,胞質因富含脂質而呈泡沫狀(spongiocytes),此為束狀帶(zona fasciculata)
  • 區域 3(次內層):細胞索條變短、吻合交叉(anastomosing cords),細胞體積稍小,胞質脂質含量減少、較嗜伊紅,為網狀帶(zona reticularis)
  • 區域 4(最內層):細胞群聚,胞質顆粒嗜鹼性,富含血竇,無脂質空泡,為**髓質(medulla

...(解析預覽)...