106年:放射診斷(1)
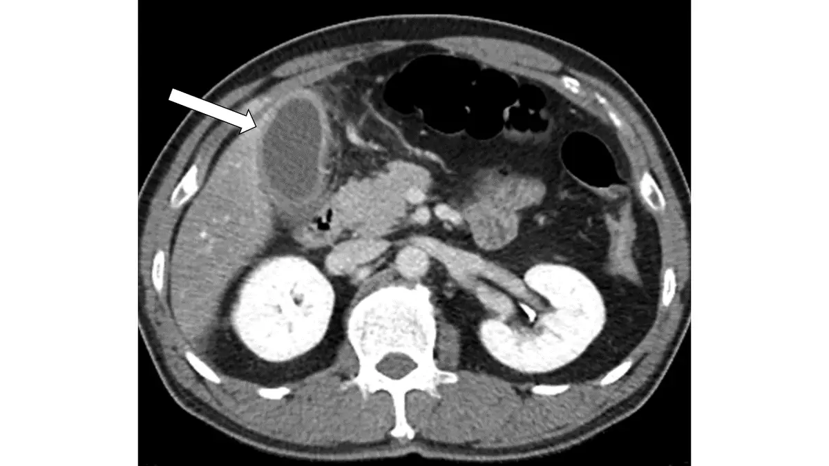
上腹疼痛病人電腦斷層攝影呈現如下圖,下列有關箭號所指那一項最正確? 
A肝膿瘍
B膽囊發炎
C胰臟炎
D胃癌
詳細解析
本題觀念:
本題考核上腹疼痛病人腹部電腦斷層攝影(abdominal CT)的影像判讀,重點在於辨識急性膽囊炎(acute cholecystitis)的典型 CT 表現,並與肝膿瘍(liver abscess)、胰臟炎(pancreatitis)及胃癌(gastric cancer)做鑑別診斷。
影像分析:
本圖為腹部 CT 軸位(axial)切面,使用靜脈注射對比劑(contrast-enhanced CT)。白色箭號位於圖片左側(影像右側,即病人右上腹),指向一個橢圓形、邊界清楚、低至中等密度的囊狀結構,位於肝臟下緣外側。
觀察重點如下:
-
箭號所指結構:橢圓形囊狀結構,內容物密度均勻偏低(符合膽汁或稠厚膽汁的密度),壁有輕度增厚,邊緣可見對比劑強化(mucosal hyperenhancement)。
-
位置:結構位於肝臟(右葉)下外側,緊鄰肝臟,與膽囊的解剖位置(右上腹、肝臟床)一致。
-
周邊改變:膽囊周圍脂肪層密度略高(pericholecystic fat stranding),提示局部發炎反應。
-
其他臟器:胰臟(圖片中央稍上方)未見異常腫大或周圍積液;肝臟實質強化均勻,未見局限性低密度病灶(排除肝膿瘍);胃壁未見明顯增厚或腫塊。
-
整體判讀:箭號指向膨脹的膽囊
...(解析預覽)...

升級 VIP 解鎖圖文解析