106年:放射診斷(1)
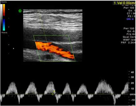
85 歲男性病人,下肢腫脹。下圖為左側腹股溝血管掃描,則下列選項何者正確? 
A此頻譜代表所掃描為正常股動脈
B此頻譜代表所掃描為正常股靜脈
C動靜脈 瘻管
D靜脈阻塞
詳細解析
本題觀念:
正常股靜脈(femoral vein)都卜勒頻譜辨識,以及與股動脈、靜脈阻塞、動靜脈廔管的鑑別診斷。本題為 85 歲男性下肢腫脹,超音波掃描左側腹股溝血管,需正確辨識所見頻譜代表的血管類型。
影像分析:
本圖為左側腹股溝區彩色都卜勒超音波(duplex ultrasound):
彩色都卜勒影像(上半部):
- 血管呈現橙紅色單一方向彩色血流訊號,顏色均勻、無彩色鑲嵌(mosaic pattern)
- 無高速渦流或混色現象,排除動靜脈廔管
頻譜都卜勒(下半部):
- 波形為單一方向(antegrade)、連續性、隨呼吸週期規律起伏
- 波形基線附近輕微波動,符合典型「呼吸相位性(respiratory phasicity)」
- 無高速三相波形(triphasic waveform),無反向血流成分
- 低速、平緩的波形形態 → 典型正常靜脈頻譜
此頻譜波形與正常股靜脈(femoral vein)的特徵完全吻合:自發性(spontaneous)、前向性(antegrade)、呼吸相位性(phasic with respiration)。
選項分析
(A) 此頻譜代表所掃描為正常股動脈 ❌ 錯誤。正常股動脈(femoral artery)應顯示三相波形(triphasic waveform)
...(解析預覽)...

升級 VIP 解鎖圖文解析