106年:放射診斷(1)
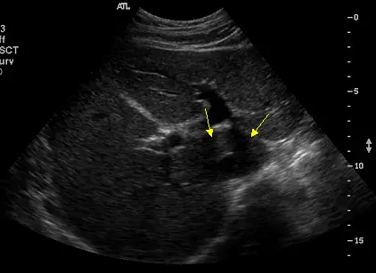
下圖為肝臟之橫切面,箭號所指為肝臟的那一個部位? 
A左葉
B尾葉
C右葉
D左葉外側節
詳細解析
本題觀念:
本題考核肝臟超音波解剖學,重點在於辨識肝臟橫切面中各解剖分區,特別是尾葉(caudate lobe)在超音波影像上的位置與識別方式。
影像分析:
本題肝臟橫切面超音波影像中,兩個黃色箭頭指向肝臟中央偏後方的一個實質組織區塊,具體位置特徵如下:
- 位置:位於肝臟的後內側,在下腔靜脈(inferior vena cava, IVC)的前方,兩側由肝靜脈分隔
- 邊界:
- 後方:緊鄰下腔靜脈(IVC)暗管狀結構
- 前/左側:靜脈韌帶裂(fissure for ligamentum venosum)
- 右側:IVC 右緣
- 回音特徵:與周圍肝實質相似的均質等回音,但在解剖位置上與其他肝葉明顯分隔
- 典型解剖標誌:箭頭所指位置位於 IVC 前方的「島狀」實質組織,此為尾葉(Couinaud segment I)的超音波辨識要點
此影像特徵明確對應肝臟尾葉的解剖位置。
選項分析
(A) 左葉(left lobe) 肝臟左葉在橫切面上位於肝臟的左側,以鐮狀韌帶(falciform ligament)或肝中靜脈(middle hepatic vein, MHV)為分界。左葉包含 Couinaud segments II、III、IV,在橫切面上佔據較大面積且位置偏左。箭頭所指
...(解析預覽)...

升級 VIP 解鎖圖文解析