106年:放射診斷(1)
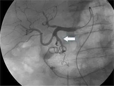
承上題【下圖中箭號所顯示為那一條血管出血? 】附圖,發現出血後所執行之最適合治療應為: 
A血管成形術( PTA )
B經動脈栓塞術( TAE )
C經頸靜脈肝門脈系統靜脈引流術( TIPS )
D血管支架置放( vascular stenting )
詳細解析
本題觀念:
本題考核動脈出血的介入性放射治療選擇。題目為「承上題」的系列題,上題已確認箭號所示為出血血管,本題進一步詢問最適合的治療方式。圖片為數位減影血管攝影(digital subtraction angiography, DSA),可見造影劑外滲(contrast extravasation),確認動脈出血。
影像分析:
圖片為腹腔血管造影(visceral angiography),採用 DSA 技術拍攝。影像特徵如下:
- 造影劑外滲:白色箭頭所指血管周圍可見造影劑在正常血管腔外積聚(blush/pooling),此為急性動脈出血的直接影像徵象
- 血管型態:可見腸系膜或腹腔動脈分支走行,血管迂曲
- 出血灶位置:箭頭指向的活動性出血點,造影劑在組織間隙積聚呈不規則染色
此種 DSA 影像所見的造影劑外滲,是確診急性動脈出血並進行栓塞治療的直接依據。
選項分析
(A) 血管成形術(PTA, percutaneous transluminal angioplasty) PTA 用於治療動脈狹窄(stenosis)或阻塞,透過氣球擴張恢復血流通暢。其適應症為動脈粥狀硬化造成的管腔狹窄、腎動脈狹窄(fibromuscular dysplasia 或動脈硬化)等。PTA 不適用於急性出血的止血,反而可能加重出血
...(解析預覽)...

升級 VIP 解鎖圖文解析